LGP 2024 B2 - Day 2

Applause IconMay 30, 2024 • 7:57 AM UTC
Location IconIndia
Applause Icon140x Magnification
Applause IconPlants
User Profile

Learn about the author...

2posts
0comments
1locations
SINGLE IMAGE
View in Media Gallery
Shravya Manoj | Tuesday and Wednesday 28 - 29 May 2024

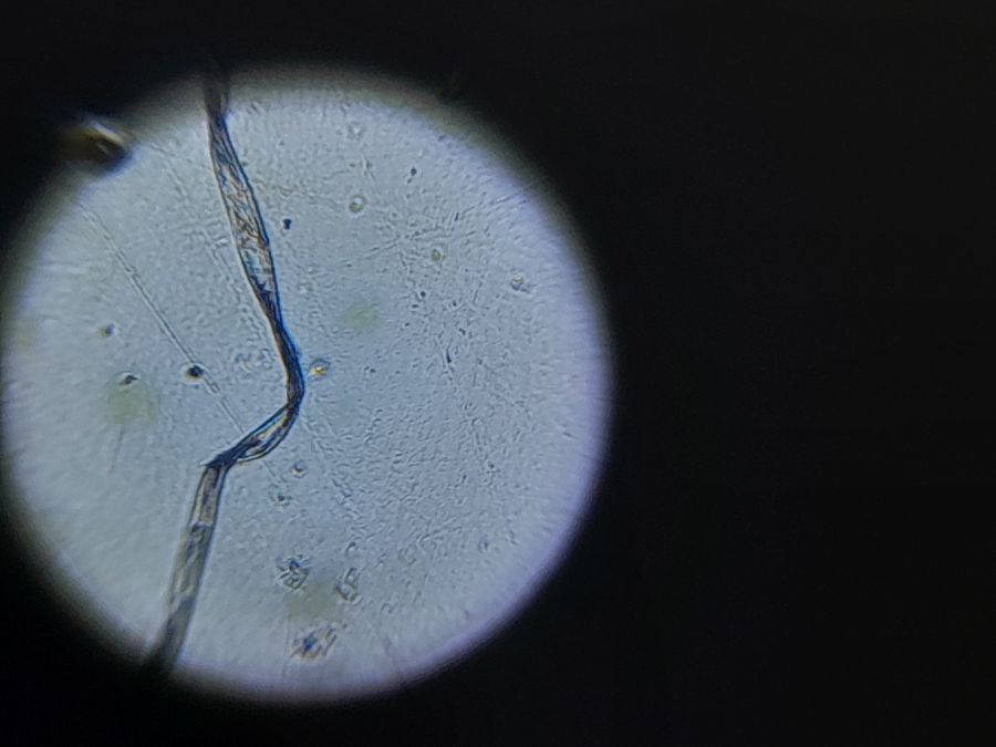
On Tuesday, we created slides with hair samples and compared the structure of eyebrow hair to that of scalp hair. We were able to make out differences in the pigmentation, shape and thickness of the two samples and identify which was which.
Initally, we had trouble making a proper slide and had to repeat it due to improper placement of the sample. The second time was successful and we were able to make out the tip of the hair and the color.
TODO
TODO
We tried to create a cheek cell sample but were not able to get a sample that was sufficient to do so.

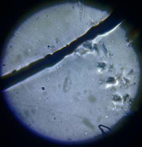
We created samples of fabric, displayed below, and were able to view the fibres that make up the thread.
SINGLE IMAGE
View in Media Gallery
Following this, we created fingerprint, potato and tomato samples. The fingerprints were very distinct and it was easy to identify the ridges and debris in the imprint. The potato cells came out beautifully and enabled us to see individual cells and their structure.
The tomato cells were much larger and stored a vast amount of water within the cell. We could even view the red pigmentation in the cell!
TODO
TODO
TODO

Sign in to commentNobody has commented yet... Share your thoughts with the author and start the discussion!

More Posts from Shravya Manoj