HOW THINGS LOOK UNDER FOLDSCOPE

Applause IconJun 05, 2024 • 4:45 PM UTC
Location IconIndia
Applause Icon340x Magnification
Applause IconNon-Living
User Profile

Learn about the author...

2posts
0comments
1locations
SINGLE IMAGE
View in Media Gallery
NAME - MANVI RATHI
DATE - 04/06/2024
DAY - TUESDAY
VENUE - AC-04-LR005

Today we saw many things in the foldscope . It was fun doing these things and trying to see them and click their pictures . We were able to do it with the help of our TEACHING FACULTY .
SINGLE IMAGE
View in Media Gallery
This is the magnified version of the CHEEK CELLS OR SQUAMUS which we saw under the foldscope .
TODO
TODO
TODO
TODO
These are the hair samples which we magnified and observed under the foldscope and then we clicked their pictures . We have obeserved and seen :-
Root
Hair Bulb
The Hair Strand
TODO
TODO
TODO
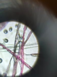
These are the FABRIC SAMPLES OR THEARDS which we observed under the foldscope and then we saw many intertwined threads as shown above in the photos .
SINGLE IMAGE
View in Media Gallery
These are the tomato cells under the foldscope the red color can be seen clearly in the picture .
TODO
TODO
TODO
These are the plain POTATO CELL we saw through the with all types of lens we had ,i.e,
50x
140x
340x

Sign in to commentNobody has commented yet... Share your thoughts with the author and start the discussion!

More Posts from Manvi Rathi