Congo river samples
Sep 10, 2022 • 9:08 PM UTC
Democratic Republic of the Congo
140x Magnification
Plants
Dave McIlwain
Learn about the author...
4posts
0comments
4locations
Plants float down the Congo river near in the rapids downstream from Kinshasa
A floating plant was harvested from the river. Does anyone know what species it is?
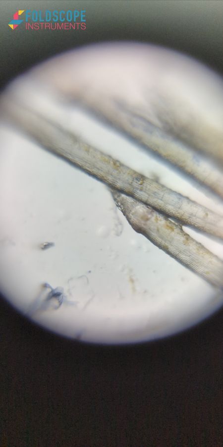
Roots from the floating plant under a foldscope
Root tip is visible in this picture.
We also filtered some river water through a mesh an collected some suspended particles.