The Invisible Ecology

Applause IconDec 01, 2022 • 7:25 PM UTC
Location IconUnited States
Applause Icon140x Magnification
Applause IconNon-Living
User Profile

Learn about the author...

1posts
0comments
1locations
SINGLE IMAGE
View in Media Gallery
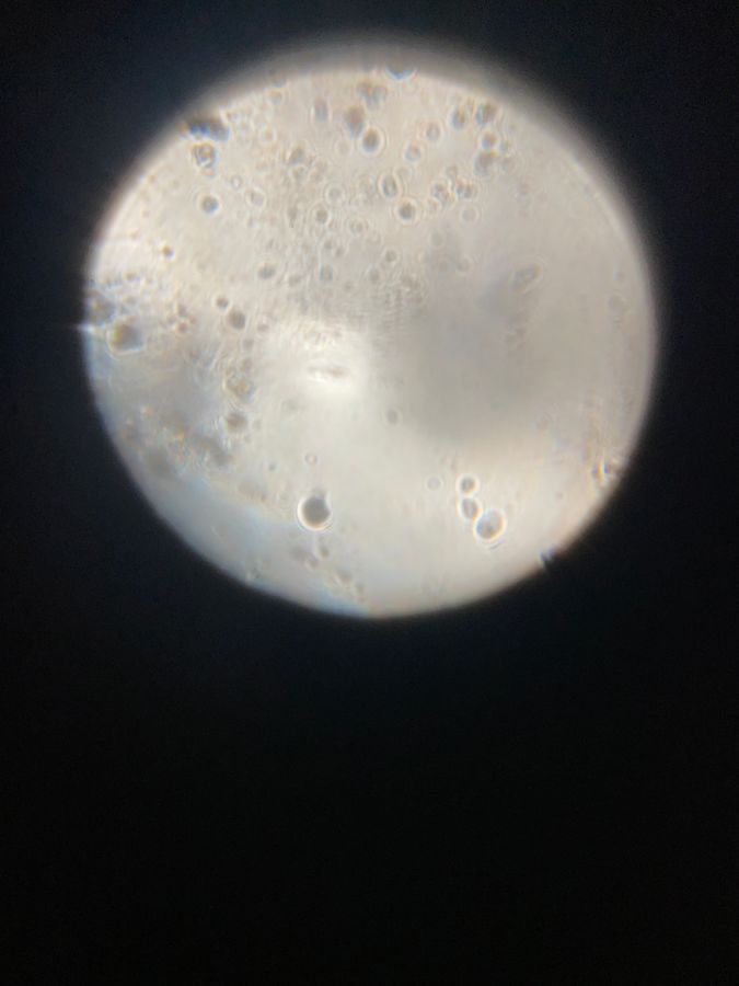
This is a very simple smear of dirt – in fact, I collected it by scooping dirt out of a puddle and pushing it onto the plate. The puddle was by a walkway in an active construction zone. Ecologically unremarkable, and indeed rather unremarkable under magnification – see below.
SINGLE IMAGE
View in Media Gallery
There's not a lot there, by any means. But there is something. Microscopically tiny dots litter the frame. The dirt isn't some homogenous web of brown dirt. It's made of smaller entities. Are they alive? Bacterial? Spilled yeast? I know nothing about the microscopic world, but to me, the entities look like cells – a pale membrane surrounding a darker clump of cellular material. Or, are they simple droplets of water? Ecology as a field so often thinks about the macro level – large organisms interacting in grand habitats. But many of the experimental validations of ecological mathematical theory have been done with colonies of lab-grown micro-organisms. The invisible world follows the same patterns of life and interaction as the larger world around us. There are whole ecologies in every ephemeral puddle by every trodden road.

I conducted this project as part of Professor Pringle’s EEB321 class at Princeton University

Sign in to commentNobody has commented yet... Share your thoughts with the author and start the discussion!

More Posts from Julian

No more posts from this author.