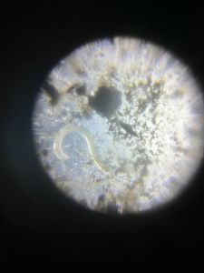
Nematodes

Applause IconJan 08, 2024 • 3:47 PM UTC
Location IconUnited States
Applause Icon140x Magnification
Applause IconMicroorganisms
User Profile

Education Specialist at Foldscope Instruments

111posts
1114comments
7locations
SINGLE IMAGE
View in Media Gallery
Nematode Facts

Taxonomy:
Kingdom - Animalia Phylum - Nematoda
Physical Description:
Nematodes are a type of roundworm. Their bodies are tapered at both ends and covered with a transparent cuticle that they periodically shed throughout their lives. Nematodes have muscles that run longways along their bodies. These muscles are responsible for the rapid side to side “thrashing” movement that is characteristic of these animals.

Habitat:
Free living nematodes can be found in freshwater, saltwater, and soil. Parasitic nematodes live inside plants and animals.

Ecological Importance:
Free living nematodes are beneficial organisms that help to keep soil healthy so that plants can grow. They play a key role in cycling nutrients through the soil and physically changing the structure of the soil particles to prepare the environment for other organisms.

Here are some pictures of nematodes and a few videos showing the thrashing side to side movements!
TODO
TODO
TODO
TODO

Sign in to commentNobody has commented yet... Share your thoughts with the author and start the discussion!

More Posts from Holly Stuart (Foldscope Team)