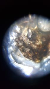
Baby Sand Crab's Eye from Jimbaran Beach, Bali, Indonesia

Applause IconOct 27, 2022 • 9:30 AM UTC
Location IconIndonesia
Applause Icon140x Magnification
Applause IconAnimals
User Profile

Learn about the author...

3posts
0comments
3locations
SINGLE IMAGE
View in Media Gallery
19/10/2022

We ran a foldscope & plankton net workshop with the amazing kids from the Surya Institute in the Jimbaran Beach! While demonstrating to the kids on how to use the foldscope with their phone, one of them gave me a sample of a very tiny baby sand crab's eye (that they accidently stepped on) - so we decided to the run the sample under the foldscope!!
Thumbnail 1
TODO
TODO
TODO
TODO
TODO

Sign in to commentNobody has commented yet... Share your thoughts with the author and start the discussion!

More Posts from Elaine Regina