Princeton Puddle & Leaf!

Applause IconDec 01, 2022 • 4:21 PM UTC
Location IconUnited States
Applause Icon140x Magnification
Applause IconMicroorganisms
User Profile

Learn about the author...

1posts
0comments
1locations
SINGLE IMAGE
View in Media Gallery
During lab this past week, we got the really neat opportunity to explore foldscopes, an innovative paper microscope that changes the game when it comes to science accessibility. While I enjoyed using the foldscope and think the capabilities of this tool are incredible, I would like to preface that I did have a bit of trouble actually examining my slide because it had trouble staying within the contraption.

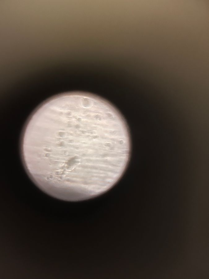
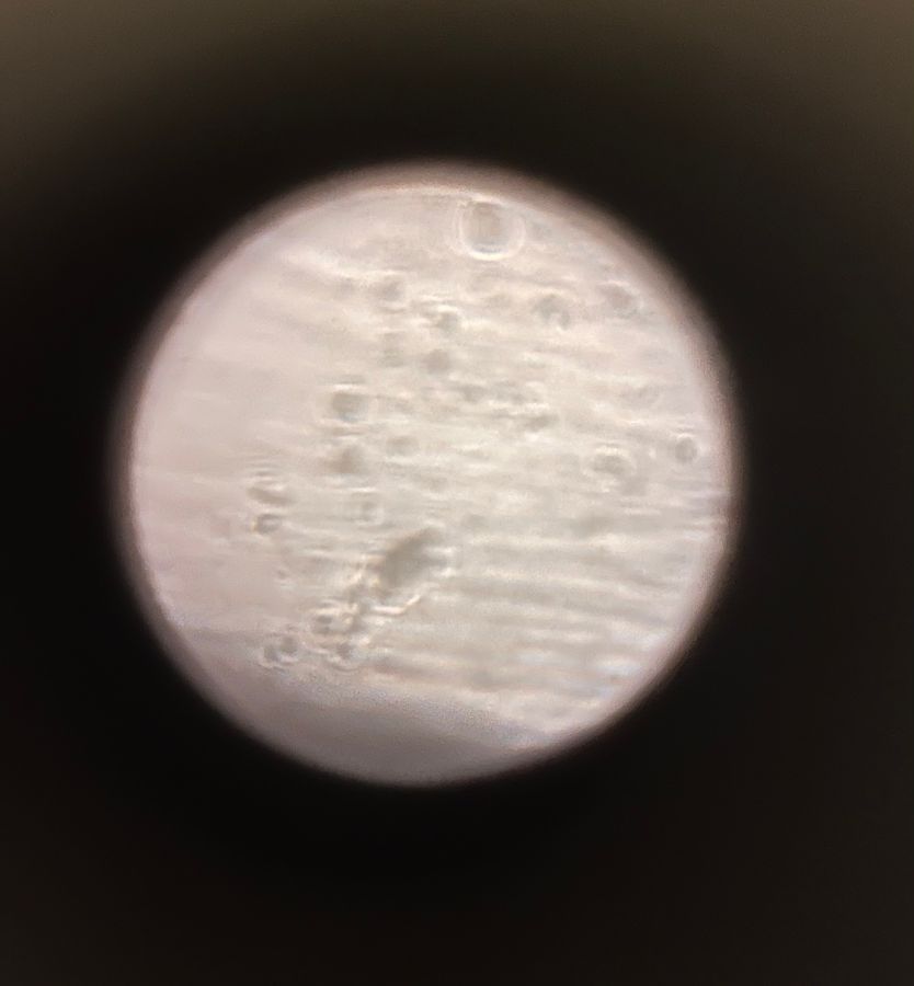
It was a very rainy day, so the first thing I was curious in testing was some water. I did this by going outside and holding my slide underneath a trickling branch. Under the microscope, it was a little difficult to see. As you can tell from the picture, I saw some round orbs of varying shapes and sizes. I thought that perhaps these were some various microbes in the water droplet. There are microbes that look very different, so I wondered if these were different species of microbes. This prompted me to think about interspecific competition amongst the microbes. Was it their different sizes that allowed them to fill different niches and that allowed them to both coexist? Do their different sizes correlate with different life histories for the microbes? Are they similar or same species of microbes but in different life stages?
SINGLE IMAGE
View in Media Gallery
I also took a blade of grass to examine. When I looked through the foldscope, I could see the texture of the grass up close. I could see distinct lines running through the grass and much of the texture looked like little hatch marks. I could see the beautiful green color of the cells quite vividly, no doubt a result of the chlorophyll of the plant cells. It is difficult to tell from this blurry photo, but I could see the light through the blade of grass, meaning the blade wasn’t completely opaque. I wondered what the purpose of that was, and I contrasted it with the leaves of plants like desert agaves, whose leaves are covered in a thick waxy cuticle and are extremely opaque. Does this extra transparency of the grass help with light or some other type of resource absorption? Perhaps the transparency isn’t necessarily an advantage but is just a byproduct of the grass being thinner (and perhaps it is thinner because it allocated less resources to this sort of growth)? Many questions to ask for this one, but interesting to explore nonetheless!
SINGLE IMAGE
View in Media Gallery
I conducted this project as part of
Professor Pringle’s EEB321 class at Princeton University

Sign in to commentNobody has commented yet... Share your thoughts with the author and start the discussion!

More Posts from CHARLOTTE KUNESH

No more posts from this author.