Different stages of sporulation in fungi observed under foldscope

Applause IconJan 02, 2019 • 9:13 AM UTC
Location IconUnknown Location
Applause Icon140x Magnification
Applause IconMicroorganisms
User Profile

Learn about the author...

22posts
1comments
1locations
SINGLE IMAGE
View in Media Gallery
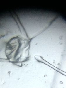
Beginning of sporogenesis is a rare view which I was able to
study under foldscope incidentally.
Stage-1: The fungal hyphae had spread forming a dense network called mycelium .
Stage -2: From these some special reproductive hyphae called sporangiophores were visible. The
tips of these stalk-like structures were slightly swollen.
Stage -3: These then became big sac-like structures called sporangia which have spores in them.
TODO
TODO
TODO
TODO
TODO
TODO
TODO
TODO
TODO
TODO

Sign in to commentNobody has commented yet... Share your thoughts with the author and start the discussion!

More Posts from jasveen dua