Microcosmos Logo
ExploreAll PostsAboutShop Now
ExploreAll PostsAbout
Log In or Sign Up

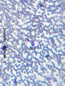
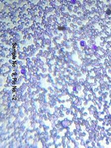
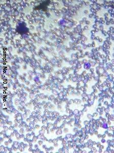
Determination of WBCs of Human Blood Smear Under Foldscope

Applause IconJan 12, 2019 • 12:59 PM UTC
Location IconUnknown Location
Applause Icon140x Magnification
Applause IconUnknown
User Profile
Dr. Kapildeo Prasad

Learn about the author...

11posts
0comments
1locations
TODO
TODO
TODO
TODO
TODO
TODO
TODO
TODO
We are exam many blood smear stain with Leishman Stain under Foldscope & seen WBCs clearly and easly count.

Sign in to commentNobody has commented yet... Share your thoughts with the author and start the discussion!

More Posts from Dr. Kapildeo Prasad

Thumbnail for White Blood Cells Under Foldscope
White Blood Cells Under Foldscope
0 Applause0 Comments
6y
Thumbnail for Foldscope Workshop & Blood Test Camp organised at Thakur Prasad College Madhepura
Foldscope Workshop & Blood Test Camp organised at Thakur Prasad College Madhepura
0 Applause0 Comments
6y
Thumbnail for One Day Foldscope Orientation cum Workshop Programm At Future IIT/Medical Classes Madhepura
One Day Foldscope Orientation cum Workshop Programm At Future IIT/Medical Classes Madhepura
0 Applause0 Comments
7y
Thumbnail for Foldscope Workshop Organized at Holy Cross 10+2 Public School Madhepura
Foldscope Workshop Organized at Holy Cross 10+2 Public School Madhepura
0 Applause0 Comments
7y
Thumbnail for Foldscope Workshop Cum Training Programme Organizied By Dr. Kapildeo Prasad
Foldscope Workshop Cum Training Programme Organizied By Dr. Kapildeo Prasad
0 Applause0 Comments
7y
Thumbnail for One Day Workshop cum Twinning Programme of Foldscope
One Day Workshop cum Twinning Programme of Foldscope
0 Applause0 Comments
7y
Thumbnail for Foldscope Orientation Programme at Shivnandan Prasad Mandal Higher Secondry School Madhepura, Bihar
Foldscope Orientation Programme at Shivnandan Prasad Mandal Higher Secondry School Madhepura, Bihar
0 Applause0 Comments
7y
Thumbnail for Foldscope Workshop Organizid at BTSP Centre Madhepura
Foldscope Workshop Organizid at BTSP Centre Madhepura
0 Applause0 Comments
7y
Thumbnail for Blood Smear Stained with Leishman Stain Under Foldscope
Blood Smear Stained with Leishman Stain Under Foldscope
0 Applause0 Comments
7y
Thumbnail for Human Urine Under Foldscope
Human Urine Under Foldscope
0 Applause0 Comments
7y
Microcosmos

About

Explore

All Posts

Brought to you by

Foldscope

© 2024 Microcosmos

Contact

Terms and Conditions

Social Media