Explore
All Posts
About
Shop Now
Explore
All Posts
About
Log In or Sign Up
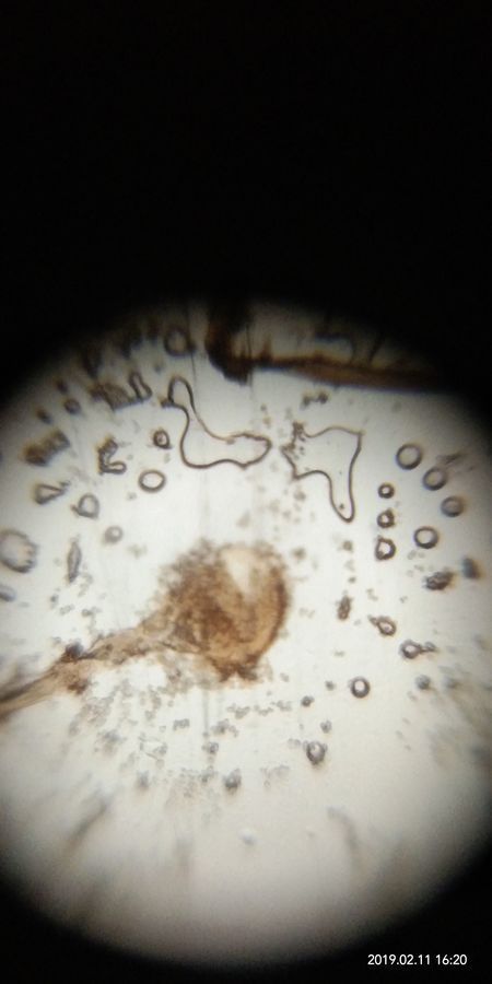
Fruit Rot of Jack-fruit from Tripura, India ( Rhizopus spp.)
Feb 11, 2019 • 11:38 PM UTC
Unknown Location
140x Magnification
Microorganisms
Durga Prasad Awasthi
Learn about the author...
79
posts
2
comments
1
locations
0 Applause
0 Comments
View in Media Gallery
Jack fruit infected by the Fungi
View in Media Gallery
Rhizopus spp.
View in Media Gallery
Collumella of Rhizopus spp.
View in Media Gallery
Sign in to comment
Nobody has commented yet... Share your thoughts with the author and start the discussion!
More Posts from Durga Prasad Awasthi
School Students seeing Microbes enthusiastically through Foldscope at Tripura, India
0 Applause
0 Comments
6y
Students viewing Microbes through Foldscope in a Fair at Tripura on 09.11.19
0 Applause
0 Comments
6y
Conducted Training Programme on Foldscope at Assam Agricultural University,Jorhat , India on 12.09.19
0 Applause
0 Comments
6y
Briefing about Foldscope
0 Applause
0 Comments
6y
Fungi ( Alternaria sp.) associated with Dragon Fruit
0 Applause
0 Comments
6y
Fungi associated with Post-harvest fruit rot of Burmese grape
0 Applause
0 Comments
6y
Penicillium sp. associated with Pineapple brought from Dhalai District of Tripura.
0 Applause
0 Comments
6y
Mite and Fungi associated with Star Fruit collected from Tripura
0 Applause
0 Comments
6y
Demonstration of Foldscope at Stall of College of Agriculture, Tripura at Pineapple Festival and Exposition 2019 held at Pragna Bhavan, Agartala, Tripura on 28th June, 2019
0 Applause
0 Comments
6y
Post-harvest fungi in lime
0 Applause
0 Comments
6y
Post-harvest Fungi in Mango
0 Applause
0 Comments
6y
School students exposed to Foldscope
0 Applause
0 Comments
6y
Alternaria sp. associated with Banana fruit.
0 Applause
0 Comments
6y
Penicillium sp. associated with Terminalia fruit
0 Applause
0 Comments
6y
Alternaria sp. associated with Grape Fruits
0 Applause
0 Comments
6y
Mango Fruits infected with Fungi
0 Applause
0 Comments
6y
Nematode in Banana Fruit Rot Sample
0 Applause
0 Comments
6y
Syzygium cumini. (L.) infected with Post-harvest Fungi
0 Applause
0 Comments
6y
Students of Vivekananda Shishu Niketan,Bishalgarh, Tripura viewing Microorganisms by Foldscope
0 Applause
0 Comments
6y
Nematodes seen in Post harvest rot of Orange from Tripura
0 Applause
0 Comments
7y
Feedback