Explore
All Posts
About
Shop Now
Explore
All Posts
About
Log In or Sign Up
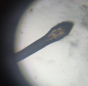
Differential Stages of Human Hair Root
Feb 27, 2019 • 2:53 AM UTC
Unknown Location
140x Magnification
Microorganisms
SAYEERAM DEEPAK
Learn about the author...
3
posts
0
comments
1
locations
0 Applause
0 Comments
View in Media Gallery
The following pictures show two stages of hair root which was observed under Foldscope
Sign in to comment
Nobody has commented yet... Share your thoughts with the author and start the discussion!
More Posts from SAYEERAM DEEPAK
Different Types of Hair
0 Applause
0 Comments
7y
Clean-cut Hair V/S Split Ends
0 Applause
0 Comments
7y
Feedback