A parasitoid mite

Applause IconFeb 18, 2016 • 5:47 AM UTC
Location IconUnknown Location
Applause Icon140x Magnification
Applause IconMicroorganisms
User Profile

Enjoying science and sharing it with everyone. Have a crush on insects –and arachnids too ;-)

4posts
23comments
1locations
SINGLE IMAGE
View in Media Gallery
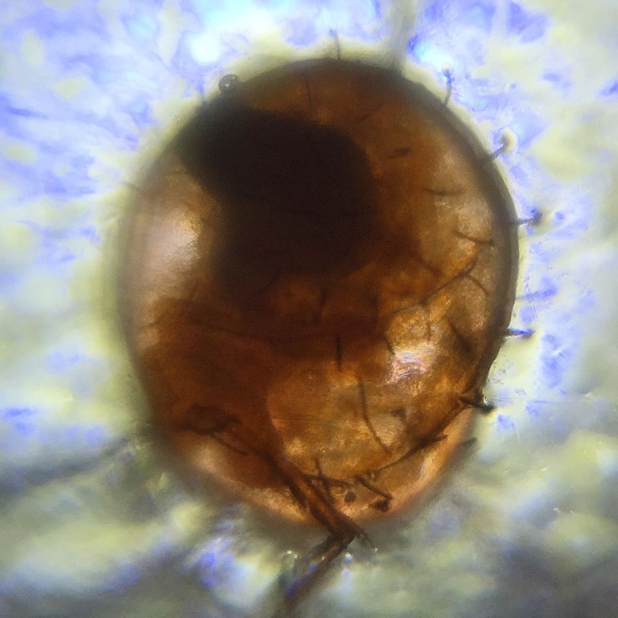
This is a mite – probably a larva belonging to the Erythraeidae family. I picked it up from a harvestman (Acanthopachylus aculeatus, image here ) the mite was parasitizing. I’d rather have used glass slides and coverslips but couldn’t find any here in Uruguay where I am right now.
TODO
TODO
TODO
TODO
TODO
TODO
TODO

Sign in to commentNobody has commented yet... Share your thoughts with the author and start the discussion!

More Posts from Javier Canteros