A water ecosystem in my home!

Applause IconMar 18, 2019 • 12:08 AM UTC
Location IconUnknown Location
Applause Icon140x Magnification
Applause IconMicroorganisms
User Profile

We are a group of students, volunteers and staff working with TIFR Hyderabad's Science Education and Outreach program: http://www.tifrh.res.in/~outreach/

39posts
26comments
2locations
SINGLE IMAGE
View in Media Gallery
Being a plant lover, I have many potted plants in my balcony garden. I water them regularly and the excess water drains into trays below each pot. One day I observed some white cottony patches on the surface of the drained water from one of the pots. The patches looked very much like the downy feathers of a pigeon. I collected some of that water, along with a white patch, to observe under my Foldscope.
SINGLE IMAGE
View in Media Gallery
White patches on the collected excess water from the pot
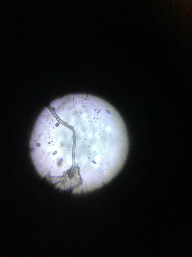
The cottony white patches turned out to be some fungi thriving on the stagnant water. I also observed a single filament from that cottony patch, which was a fungal mycelium.
SINGLE IMAGE
View in Media Gallery
White cottony patch magnified under Foldscope, showing a network of fungal mycelium
SINGLE IMAGE
View in Media Gallery
A single mycelium The water drop had some active moving organisms which I recorded in a video taken through my Foldscope. They appear to be protozoa but I need your expert suggestions in identifying these organisms.
View in Media Gallery
Protozoa in the water drop? This tiny water drop had a number of Euplotes, most of them whizzing by at top speed. Amazingly in the midst of these was one pair of Euplotes steadily carrying on, all the while buffeted by their speedy cousins. Were they conjugating? Or dividing through binary fission? That depends on whether their oral areas are oriented frontally, or not. (I learnt this from a very similar YouTube video of Euplotes labelled “conjugation”, though expert comments point out that it is “binary fission”.)
View in Media Gallery
Dividing or conjugating Euplotes in the water drop?
The water drop contained particles of mud spilled out from the potted plant. In the midst of the mud was an eight legged bug. It must be a type of arachnid. But what is it?
SINGLE IMAGE
View in Media Gallery
An arthropod in the water drop Lots of diversity in this tiny water drop, left me with many doubts and unanswered questions. What is that white cottony fungus growing on this collected water? Is that protozoan, Euglena (the shape made think about Euglena though I could not see any green colour in that!) or something else? Are those really Euplotes and are they dividing or conjugating? And last but not the least, what is that eight legged bug?
Waiting for all your expert comments!
Cheers!
Ashalatha
with Debashree

Sign in to commentNobody has commented yet... Share your thoughts with the author and start the discussion!

More Posts from Jayashree Ramadas