Foldscope Wet Samples: My First Time!

Applause IconApr 08, 2019 • 5:40 PM UTC
Location IconUnknown Location
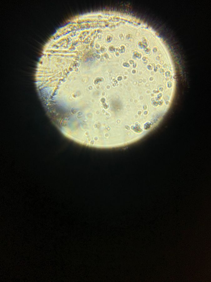
Applause Icon140x Magnification
Applause IconUnknown
User Profile

Learn about the author...

2posts
0comments
1locations
SINGLE IMAGE
View in Media Gallery
This image is a snapshot of a wet sample from a pond. The sample is translucent and slightly green, but mainly clear. The sample was obtained on April 8th, 2019 at 4:50 pm from a Turtle Pond via falcon tube insertion. The organism shown is most likely of the prokaryotic domain as no visible nuclei are present in the organisms.
SINGLE IMAGE
View in Media Gallery

Sign in to commentNobody has commented yet... Share your thoughts with the author and start the discussion!

More Posts from Ethan Eason