Explore
All Posts
About
Shop Now
Explore
All Posts
About
Log In or Sign Up
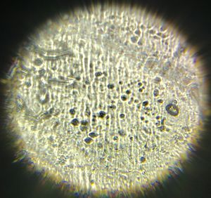
Magnified View of a Swab from Upper Arm Skin
Apr 09, 2019 • 9:22 PM UTC
Unknown Location
140x Magnification
Unknown
Ishan Gaur
Learn about the author...
1
posts
0
comments
1
locations
0 Applause
0 Comments
Sign in to comment
Nobody has commented yet... Share your thoughts with the author and start the discussion!
More Posts from Ishan Gaur
No more posts from this author.
Feedback