Microcosmos Logo
ExploreAll PostsAboutShop Now
ExploreAll PostsAbout
Log In or Sign Up

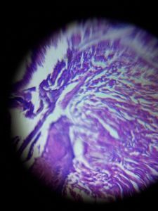
Sections of earthworm observed under foldscope – Stella Maris College

Applause IconApr 14, 2019 • 10:49 AM UTC
Location IconUnknown Location
Applause Icon140x Magnification
Applause IconUnknown
User Profile
veenagayathri krishnaswamy

Learn about the author...

8posts
0comments
1locations
TODO
TODO
TODO
TODO
TODO
TODO
TODO
TODO
TODO
TODO
TODO
TODO
TODO

Sign in to commentNobody has commented yet... Share your thoughts with the author and start the discussion!

More Posts from veenagayathri krishnaswamy

Thumbnail for Random images – water used in house hold, SMC, Chennai
Random images – water used in house hold, SMC, Chennai
0 Applause0 Comments
6y
Thumbnail for FOLDSCOPE WORKSHOP IN PSG INSTITUTE OF SCIENCE AND TECHNOLOGY BY Dr. K.Veena Gayathri STELLA MARIS COLLEGE CHENNAI
FOLDSCOPE WORKSHOP IN PSG INSTITUTE OF SCIENCE AND TECHNOLOGY BY Dr. K.Veena Gayathri STELLA MARIS COLLEGE CHENNAI
0 Applause0 Comments
6y
Thumbnail for Two day Workshop in Bharathi Women’s College organised by Dr. K. Veena Gayathri, Stella Maris College, Chennai
Two day Workshop in Bharathi Women’s College organised by Dr. K. Veena Gayathri, Stella Maris College, Chennai
0 Applause0 Comments
7y
Thumbnail for Fin of fish observed in SMC Chennai
Fin of fish observed in SMC Chennai
0 Applause0 Comments
7y
Thumbnail for Images of microflora in water body in SMC
Images of microflora in water body in SMC
0 Applause0 Comments
7y
Thumbnail for Structures viewed in hached earthworm cocoons
Structures viewed in hached earthworm cocoons
0 Applause0 Comments
7y
Thumbnail for Exploring water bodies in SMC Chennai
Exploring water bodies in SMC Chennai
0 Applause0 Comments
7y
Microcosmos

About

Explore

All Posts

Brought to you by

Foldscope

© 2024 Microcosmos

Contact

Terms and Conditions

Social Media