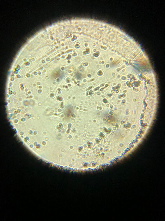
water sample from a turtle pond

Applause IconApr 16, 2019 • 4:01 PM UTC
Location IconUnknown Location
Applause Icon140x Magnification
Applause IconUnknown
User Profile

Learn about the author...

3posts
0comments
2locations
SINGLE IMAGE
View in Media Gallery
This is an image taken from the foldscope while observing a sample of water from Caltech’s turtle pond near Milikan Library. The sample was taken sometime last week, and observed on Wednesday evening of last week. The water was put into a plastic vial, and then pipetted onto a slide for observation. I was personally unable to find any moving or living organisms of interest, even after observing multiple samples. However, in every sample I looked at, I saw many of these green circular objects as well as a fuzzier green rim surrounding most of the area in the viewing circle. I was particularly wondering about the green rim because I couldn’t really deduce why I always saw it, and why it seemed to appear to be relatively the same size. Perhaps this could be explored by trying to view samples from different magnifications, as well as observing the entire area of the sample on the slide. The type of sample could be monitored as well, whether any green specimens were visible in the water sample or not. #caltechbi1

Sign in to commentNobody has commented yet... Share your thoughts with the author and start the discussion!

More Posts from Jina Lee