Salt ponds and marshes of the San Francisco Bay

Applause IconMay 09, 2019 • 10:00 PM UTC
Location IconUnited States
Applause Icon140x Magnification
Applause IconMicroorganisms
User Profile

Bioengineering PhD student at Stanford University. They/them pronouns. https://ethanjli.github.io/

1posts
1comments
1locations
SINGLE IMAGE
View in Media Gallery
As part of our lab assignment given by Prof. Manu Prakash in BIOE 301C to study something interesting with the Foldscope, we – Katie Gu (she/her), David Chen (he/him), and Ethan Li (they/them) – got excited to visit former salt ponds in the San Francisco Bay which are currently being restored into tidal marshes. This post contains the background for our weekend field trip, along with our field report and microscopy findings.

Read on to learn about why this is such an interesting site to visit, and what we found there!
Background InformationNatural and Human HistoriesFormation of the San Francisco BayPre-History to Spanish ContactCalifornia StatehoodIndustrialization, Suburbanization, and RestorationBiology and EcologyActive Salt PondsWetland RestorationField ReportSF Bay @ Dumbarton Bridge West Observation PointSmall Salt Pond @ Marshlands Rd PulloutLarge Salt Pond @ Tidelands TrailSalt Marsh Pond @ Tidelands TrailNewark Slough Bridge @ Tidelands TrailDiscussionReferences Background Information
If you live in the San Francisco Bay Area in California and you’ve driven across the Dumbarton Bridge or flown in on a plane to one of the three airports in the area, you’ve probably noticed some amazingly vivid yellow, orange, red, and pink ponds ( Google Maps ) along the shores of the San Francisco Bay:
SINGLE IMAGE
View in Media Gallery
Aerial view of Dumbarton Bridge (top), Cargill salt ponds (bottom left), part of Don Edwards San Francisco Bay National Wildlife Refuge (top right), and part of the city of Newark, California (bottom right). Source: dro!d, Wikimedia Commons
SINGLE IMAGE
View in Media Gallery
Aerial view of salt ponds in Redwood City, California. Source: Michael Layefsky, Nature
These are the salt ponds of the San Francisco Bay. But what gives them their color? How did they come to exist? What lives in them? And why are they starting to disappear?
Natural and Human Histories
The salty marshes of the San Francisco Bay have been used for harvesting salt by solar evaporation for hundreds of years, but the way humans harvest salt and manage the local environment has changed dramatically from the practices of pre-contact indigenous peoples to modern-day industrial extraction. As relationships among local humans and between humans and local ecology have changed and continue to change, so the wetlands of the San Francisco Bay continue to evolve. And indeed the history of land in the San Francisco Bay is deeply intertwined with the history of humans in the Bay Area.
Formation of the San Francisco Bay
About 10,000 years ago at the end of the Pleistocene era (the Ice Age), global temperatures increased, glaciers retreated, and the sea level rose to enter a river valley of the Sacramento River and the San Joaquin River. The shoreline retreated at a rate of about 100 feet per year from the Golden Gate to the South San Francisco Bay near what is now the city of San Jose, forming what we now know as the San Francisco Bay (1). About 4000 to 3000 years ago, flat salty marshlands began forming in this estuary, and tidal pools, mudflats, and marshes were abundant with fish, birds, and other wildlife. When Spanish explorers first visited the region, there were roughly 50,000 acres of mud flats at low tide and 200,000 acres of tidal marshes across the Bay. By contrast, today there are just 30,000 acres of mud flats and 50,000 acres of tidal marsh, a loss of wetland due to suburban and industrial development (2).
Pre-History to Spanish Contact
At the time of first contact with Spanish explorers at the end of the 1700s, the Chochenyo-speaking Irgin, Tuibun, and Alson Ohlone tribal groups lived in marshlands and neighboring areas of the East Bay and South Bay, and other Ohlone tribal groups inhabited the other parts of the San Francisco Bay Area (3). One activity of Ohlone people who lived near salty marshes was collecting salt crystals by solar evaporation from willow sticks which they had placed in salt ponds (1, 4). They harvested this salt for food and local trading (1). Native Californians also actively stewarded the land around them, using fire to control the structure of grasslands and woodlands, planting trees for building materials, and modifying natural features to develop and manage salt ponds (1, 4). The first peoples of the San Francisco Bay Area were interdependent with the land around them, and their practices of hunting, gathering, and fishing for subsistence simultaneously took advantage of and built up the ecological resources around them (3).
SINGLE IMAGE
View in Media Gallery
Pre-contact distribution of Ohlone languages, and post-contact locations of Spanish missions in Northern California, between what is now called Vallejo to the north (top) and Big Sur to the south (bottom). Source: Arnaudh, Wikimedia Commons
The Spaniards encountered substantial villages and Ohlone populations throughout this region, and they were confused by this paradox of an abundant environment, large populations, and an absence of the agricultural practices they knew (3). Instead, the Spanish chose to exploit these lands and peoples for their own political and economic power – by stealing land and destroying the modes of production, including the deeply reciprocal social, material, and ecological relationships which were the economic and cultural foundations of indigenous life (5) – to replace them with European feudal agricultural, economic, and political systems. In this process of colonial expropriation, the Spanish took advantage of disease and military force to impoverish and displace native people from throughout Northern California into an exploitable Indian working class for agricultural labor (3, 6).
In addition to reshaping the local environment for farming and cattle ranching, the Spanish missions continued the solar harvesting of salt. They increased annual yields by reshaping the land of the salt ponds to speed up evaporation. This process was labor-intensive, and the missions used a thousand Indian and mission workers to harvest several tons of salt each year, which they exported to other Spanish missions and to Europe (1).
California Statehood
After the Mission system was ended and former Spanish colonies won the Mexican War of Independence in 1821, local Spanish-Mexican families called the Californios kept the land for themselves, ignoring indigenous land rights. With their political, military, and economic power, they formed and maintained a feudal system in which Indian serfs had to survive by doing all the manual labor needed to maintain the wealth of the aristocratic Californio ranchers (3, 6).
Westward imperial expansion of the United States and the Gold Rush led to further illegal military invasions of tribal lands, genocidal violence, and involuntary servitude of indigenous peoples in California from the 1840s to the 1860s. Anglo-American settler-colonizers from the US also stole the ranch lands of most of the Californios who had lived in the area, and they declared themselves the independent California Republic before joining the US (3, 6). The newly formed State of California considered the marshes and wetlands of the San Francisco Bay to be unproductive and wasted, so they sold the land cheaply to settler-colonizers who would drain the wetlands. These settler-colonizers built levees and dikes to grow crops and harvest salt at a large scale (1). Salt harvesting operations grew with mechanization and growth of other local industries such as salt-intensive mining, and commercial operations consolidated into larger companies through to the mid-1900s (1). Wetlands were also filled to build commercial ports, roads, and rail lines, and cities such as Berkeley, Oakland, Alameda, and Emeryville.
Meanwhile, indigenous peoples were further displaced throughout the Bay Area, and many tribal groups became landless or homeless. In 1927, California State bureaucrats deliberately and illegally removed 135 tribes and bands throughout Northern California from federal tribal recognition, and so indigenous people like the Ohlone lost all formal rights for sovereignty and self-determination (3).
Industrialization, Suburbanization, and Restoration
Salt production continued to expand, consolidate, and modernize throughout the 1900s, with 25,000 of acres of land being used to produce 450,000 tons of salt by 1958, all under the monopoly of Leslie-California Salt Company (1). As the population of the San Francisco Bay Area grew in the decades after World War II, demand rose for land for housing, and small parcels of salt production land started to be sold for residential and commercial development. The cheapest location for houses and offices was on the mudflats and adjacent flat land along the industrial transportation routes, and wetlands were being filled to make land for development (1). Paradoxically, Leslie both contributed to this, such as in selling the land which would be filled to create Foster City in the 1960s, while also preventing further suburban development by occupying the remaining salt ponds to continue extracting commercial value (1). Ultimately, 80 to 85% of the original shoreline has been completely transformed (7) – and most of this environmental destruction was carried out by Anglo-American settler-colonists in their efforts to accumulate capital and wealth by mineral extraction, suburban development, and rent-seeking on lands stolen from the Ohlone, whose descendants continue to live in the San Francisco Bay Area.
SINGLE IMAGE
View in Media Gallery
Salt ponds and harvesting facilities in Redwood City in 1983. Source: San Francisco Chronicle
In 1969, Save the Bay , a conservation movement to preserve wetlands of the Bay Area, won the passage of state legislation to limit the use of the tidal wetlands and shoreline of the San Francisco Bay. A few years later, the US Congress established a national wildlife refuge (now the Don Edwards San Francisco Bay National Wildlife Refuge ) on 20,000 acres of salt production land to be managed together with Leslie, which was allowed to continue salt production operations (1). In 1978, the multinational agricultural and industrial conglomerate Cargill purchased Leslie Salt and sold 15,000 acres of land back to the state and federal governments for restoration into tidal wetland habitat conditions similar to what existed the 1800s. Marsh restoration efforts continue in the Bay Area, with dual goals of providing wildlife habitats and maintaining wetlands robust enough to resist flooding and sea-level rise which will intensify with global climate change (8).
SINGLE IMAGE
View in Media Gallery
Satellite imagery of the movement of reddish salt brine through Cargill’s active salt ponds in Newark throughout 2017. Source: Planet, KQED
SINGLE IMAGE
View in Media Gallery
Healthy tidal marsh (left), levee (center), and former salt pond (right) in the South San Francisco Bay. Source: U.S. Geological Survey
The descendants of all surviving indigenous peoples of the San Francisco Bay Area, now organized as the Muwekma Ohlone Tribe, continue to struggle for legal status as a federally recognized tribe. In the East Bay, the inter-tribal women-led Sogorea Te’ Land Trust works to return urban Chochenyo Ohlone lands to indigenous stewardship, create a home for Ohlone people to gather, grow traditional and sustainable foods, gain cultural rights for traditional usage of parks and ecological reserves, and restore traditional methods of managing and caring for land. They are asking non-indigenous people living on traditional Chochenyo and Karkin Ohlone territory to pay a voluntary annual contribution to the Shuumi Land Tax to help Sogorea Te’ acquire and preserve land and build a home for indigenous people in the San Francisco Bay Area.
SINGLE IMAGE
View in Media Gallery
Muwekma Ohlone Tribe Group Picture at the Ohlone Gathering in Coyote Hills Regional Park, 2015. Source: Muwekma Ohlone Tribe
Biology and Ecology
While Cargill continues to operate salt ponds for production, other former salt ponds are actively being managed or restored to a variety of wetland types to support biodiversity.
Active Salt Ponds
Cargill currently uses about 40 million tons of Bay water to produce one million tons of salt through solar evaporation each year, using five industrial plants in the South Bay. To accomplish this, they pump Bay water through a series of nine evaporator ponds of increasing salinity; by the last evaporator pond, 95% of the original Bay water has evaporated. The brine from this pond is then moved to a crystallizer pond, where salt precipitates out at a yield of 40 tons per acre (2). The extremely salty waste brine, called bittern, is toxic to aquatic life and is stored on-site in other ponds. In five incidents from 1999 to 2007, Cargill has accidentally spilled 565,000 gallons of it into the San Francisco Bay and nearby wetlands, with large impacts on local ecosystems (9).
The variety of salinities in these salt ponds provides a diverse range of habitats for various organisms (10):
In low-salinity evaporation ponds (15 – 60 ppt), salinity ranges from the salinity of Bay water to higher levels from evaporation. Around 20 invertebrate species can be found, including mussels, clams, crabs, sea anemones, worms, and insects; also present are algae such as sea lettuce and plankton, fifteen species of fish, and many waterfowl and shorebirds which depend on fish, insects, and aquatic plants. In medium-salinity evaporation ponds (60 – 180 ppt), species diversity decreases but overall biomass density increases. Green algae such as Dunaliella and brine shrimp ( Artemia ), which thrive in hypersaline environments, dominate. A few species of insects, such as brine flies ( Ephydridae ) and water boatmen ( Corixidae ), fish, waterfowl, and shorebirds are also present. In high-salinity evaporation ponds (180 ppt and higher), species diversity is even lower and overall biomass density is even higher. High salinities cause Dunaliella to produce a red pigment, while halophilic bacteria also produce red and purple-red pigments, giving these ponds their vivid colors. The dominant invertebrates are Artemia , Corixidae , and Ephydridae , and a variety of shorebirds forage for food. In crystallizer ponds, salinity can exceed 200 ppt, and only halophilic bacteria can survive. Restored Wetlands
At sites such as Eden Landing Ecological Reserve , Don Edwards San Francisco Bay National Wildlife Refuge , Ravenswood Ponds , and Alviso Ponds , 50% to 90% of all industrial salt pond areas are either planned for or in the process of rehabilitation into tidal mudflats and salt marshes (11). Restoration actions include breaching levees to open ponds to Bay tides, managing salinity and water levels, promoting buildup of sedimentation for marshes and mudflats, installing pumps to improve water flow for native fish, and reshaping local topography for waterbirds. Other areas will be managed to continue as non-industrial salt ponds at moderate lower salinities, providing food sources for various birds and fish.
Restored tidal mudflats will support a variety of invertebrate animals such as shellfish and snails, along with algae, eelgrass, fish, shorebirds, and waterfowl. Tidal marshes will be restored at a higher elevation, featuring vegetation such as cordgrass ( Spartina ) and pickleweed ( Salicornia ) and an extensive network of channels and ponds which support juvenile salmon and trout, shorebirds and waterfowl, and small mammals.
Managed ponds will continue to be enclosed by dikes and may have limited tidal exchange with the Bay to maintain a variety of salinities and depths. Currently, ponds support a variety of micoorganisms, insects, and crustaceans, which serve as food for waterfowl.
Field Report
We were curious to find out what kinds of microscopic life we would be able to see at these salt ponds and tidal wetlands, and we wanted to see for ourselves the effects of salt production operations and wetland rehabilitation. We also found that Manu had previously posted on Microcosmos looking for people who wanted to check out the salt ponds (but no takers), and that another person had previously posted on Microcosmos about finding brine shrimp in a salt pond at Bedwell Bayfront Park in Menlo Park.
On May 5, 2019, we drove up from Stanford across the Dumbarton Bridge to visit the Don Edwards San Francisco Bay National Wildlife Refuge (NWR). We visited roughly four sites to collect samples; because we had limited time and the weather was getting chilly, we collected samples and took them back to Stanford before looking at them in our Foldscopes, rather than looking at them immediately on-site. We had intended to live-blog our field trip as we were out in the field, but our schedule meant that we’ve only had time to post our field notes and findings after our trip.
SF Bay @ Dumbarton Bridge West Observation Point
On our drive up to Don Edwards San Francisco Bay NWR, we stopped at the Dumbarton Bridge West Observation Point from 3:30 PM to 4:00 PM to collect some samples from the San Francisco Bay:

According to our phone GPS, our global coordinates were 37°29’57.3″ N, 122°07’40.9″ W. At the time, the weather in the Don Edwards San Francisco Bay NWR was a temperature of 64°F (18°C), humidity of 50%, pressure of 29.82 inHg (757.4 mmHg), visibility of 10 mi (16 km), and wind of W 16 mph (26 km/h). The NOAA/NOS/CO-OPS tide predictions for Dumbarton Bridge at the time suggested that the tide level of the Bay was approximately 7 feet:
SINGLE IMAGE
View in Media Gallery
NOAA tide prediction for the San Francisco Bay at Dumbarton Bridge for May 5 to May 7.
This site has a parking lot with a short path to the observation point; crawling over some rocks provides direct access to a small beach on the San Francisco Bay, with a border of cordgrass ( Spartina ) between the Bay and a field of pickleweed ( Salicornia ) (click on photos for more detailed descriptions):
TODO
TODO
TODO
TODO
TODO
TODO
When we first arrived at this site, we spotted a snowy egret walking in the pickleweed field:
Brief video clip of snowy egret walking in pickleweed field. (Katie Gu)
We collected samples of water; the “sand”, consisting of sand, small rock fragments, and small shells, soaked in Bay water at the shoreline; some filamentous macroalgae on a wet rock near the shoreline; some rock fragments and sand and Bay water at the base of a bundle of cordgrass; some water by the rocky part of the shoreline next to Dumbarton Bridge; a cutting of a blade of cordgrass; and a segment of pickleweed:
TODO
TODO
TODO
TODO
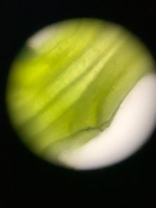
David imaged the sample of sand, small rock fragments, and small shells, and found a very small shell among the rock fragments. He also imaged the blade of cordgrass and observed parallel leaf veins characteristic of monocots (click on images for descriptions and information about imaging parameters and image scale):
TODO
TODO
Katie also imaged the water samples and the sample of filamentous macroalgae with a 0.5 mm grid. There were many microbes in the sample of water collected near the cordgrass, but it was unclear what they were:
TODO
TODO
TODO
TODO
TODO
TODO
We also noticed a lot of orange vines, which David identified as dodder (most likely Cuscuta pacifica , given the host plant and the location), wrapping themselves around pickleweed. These vines are parasitic on their host plants, and they project haustoria which penetrate into their hosts to take nutrients. We collected some samples of pickleweed and pickleweed with some dodder vine wrapped around it:
TODO
TODO
TODO
David imaged these samples of pickleweed (specifically a layer of dermal tissue scraped from the pickleweed, and the fibrous core which was pulled out of the pickleweed) and dodder:
TODO
TODO
TODO
TODO
TODO
TODO
Small Salt Pond @ Marshlands Rd Pullout
After collecting samples from the shoreline of the Bay, we then drove across the Dumbarton Bridge and entered Don Edwards San Francisco Bay NWR. On our way up, we noticed a road named Marshlands Road which ran parallel to Dumbarton Bridge, so we followed it to see if we could access any of the salt ponds next to the bridge; at this time of the year, all the salt ponds appeared to be roughly blue, rather than the more unusual colors we’ve seen previously. We found a pullout next to a small salt pond at 37°31’47.5″ N, 122°05’34.5″ W, as confirmed by satellite imagery on Google Maps:

We stopped at this site to collect samples from 4:25 PM to 4:45 PM. Weather conditions were still the same as before. The most immediately apparent feature at this site was a large red-and-white machine which looked like a hybrid between a boat and a crane. The water at this small and shallow pond was clear, making it easy to see invertebrates in the pond, including a large number of brine shrimp ( Artemia ):
TODO
TODO
TODO
TODO
TODO
Some of the brine shrimp were red, while others were green, and still others were green with red limbs; we also found that some brine shrimp were carrying large spheres filled with eggs, while others weren’t. We also saw a few worms (???) which were curling back and forth near the water surface while following water currents in the pond as wind blew across the surface of the pond, and many very small critters which swam very quickly (???). We collected samples of each of the aquatic invertebrates, along with pond water, and we also collected also samples of sediment from the bottom of the pond:
Video of a red brine shrimp with eggs (left tube) and an unknown worm (right tube). While the worm curls back and forth into a C-shape in the water, when confined in the tube it mostly shows an undulating motion. (Katie Gu)
Video of brine shrimp of various colors in three tubes, an unknown worm (middle left tube), and a small fast swimmer in a tube with sediment (right-most tube). (Katie Gu)
We first imaged a brine shrimp, which was much bigger than the field of view. Unfortunately, it was kind of squished between our microscope slide and the glass cover slip we were using. We noticed green contents, an eye and hairs:
TODO
TODO
TODO
TODO
TODO
TODO
TODO
TODO
TODO
TODO
TODO
TODO
TODO
Thumbnail 14
Foldscope exploration of a brine shrimp. Field of view is 1 mm diameter. (David Chen, Katie Gu, Ethan Li)
We also imaged some brine shrimp eggs which had escaped from the brine shrimp. Remarkably, they seemed to attract to each other on the microscope slide and showed nearly hexagonal packing. What could cause this?
SINGLE IMAGE
View in Media Gallery
Foldscope brightfield photo of brine shrimp eggs. Field of view is 1 mm diameter. (David Chen & Katie Gu & Ethan Li)
Next, we imaged the worm – unfortunately, it was rather large and got completely squished between the microscope slide and the cover slip. We discovered various clusters of black hooks (01:25, 02:00, 03:00, 04:00), which we suspect are its “feet”.
TODO
TODO
TODO
TODO
Thumbnail 5
Foldscope exploration of a worm. Field of view is 1 mm diameter. (David Chen, Katie Gu, Ethan Li)
Next, Katie and Ethan imaged the small fast swimmer, which unfortunately also got squished between the microscope slide and glass cover slip. It appeared to have a plated exoskeleton and segmented legs (01:20):
Foldscope exploration of an unknown invertebrate. Field of view is 1 mm diameter. (Katie Gu, Ethan Li)
Finally, Katie and Ethan imaged the sand or dirt from the bottom of the pond, and mainly saw sand grains of various sizes:
Foldscope exploration of sand grains. Field of view is 1 mm diameter. (Katie Gu, Ethan Li)
We didn’t see anything interesting in our other water samples.
There were a large number of brine flies ( Ephydridae ) flying around and resting on the ground next to the pond. We also noticed that the pickleweed here had red segments, unlike the pickleweed at our previous site (we didn’t think to collect a sample of this, though):
SINGLE IMAGE
View in Media Gallery
Close-up photo of pickleweed with red and green segments (foreground). (Ethan Li)
Large Salt Pond @ Tidelands Trail
After the previous salt pond site, we drove to the trailhead for Tidelands Trail and entered Tidelands Trail. On the way in, we encountered a large lizard, along with various plants:
TODO
TODO
TODO
TODO
We took a detour to the former pump house, where we saw a very pretty area of salt marsh around Tidelands Trail and a picnic house attached to a bridge over Newark Slough:
TODO
TODO
TODO
TODO
TODO
After crossing the bridge over Newark Slough, we reached a junction between Tidelands Trail and Newark Slough Trail at a large pond. This is pond #2 in Figure 3 on page 25 of reference (10), and it appears that Cargill retains perpetual salt-making rights on this pond. According to Bay Area Hiker , the water may range from green to mauve depending on the stage of salt development:
SINGLE IMAGE
View in Media Gallery
Photograph of salt pond #2 from the bridge over Newark Slough, around late June, with visible salt crust at the pond edge. Source: Jane Huber, Bay Area Hiker
However, we saw turbid greenish-brownish water:
SINGLE IMAGE
View in Media Gallery
Panorama of a greenish-brownish pond #2 at the shoreline near the bridge over Newark Slough, with foam but no salt. (David Chen)
Weather conditions were the same as at our previous site. We took samples from the shore of this pond near the abandoned hunting cabin from 5:05 PM to 5:25 PM at 37°31’53.0″ N, 122°04’33.6″ W, as confirmed by satellite imagery on Google Maps:
TODO
TODO
TODO
We collected samples of almond-shaped objects with fibrous brown husks near the foam at the edge of the salt pond; pond water; water in a puddle next to the foam; a dried yellow crumbly residue which we suspected was the “dried-out” foam; wet mud next to the foam; water from roughly 3 cm below the surface of the pond; dried caked-up mud; and a brown mud-like layer which was flapping under the waves of the pond, which Ethan suspected was a microbial mat:
TODO
TODO
TODO
TODO
Sea foam is usually formed when dissolved organic matter in seawater is agitated by wind and waves. Surfactants are also required for foam to form. In seawater, surfactants can come from many man-made sources (e.g. detergents, fertilizers, and sewage), but also from the proteins and fats in marine plants (13).
First, Katie and Ethan imaged the sample from the brown substance which we believed might be a microbial mat. Under the microscope, the material looked more green. We then discovered that zooming in with our phone actually managed to enhance detail, and we found what appeared to be small green single-celled microbes (05:30 to 06:10), along with two small roundworms (06:10 to 08:00):
Foldscope exploration of the bottom of the large salt pond. Field of view is 1 mm diameter.(Katie Gu & Ethan Li)
Next, Katie imaged the sample of wet mud next to the foam, and the water in a puddle adjacent to the foam. With the puddle water, two components were visible: a dark brown, grainy phase; and a light green phase which Katie suspects might be colored by algae. The mud sample generally looked similar:
TODO
TODO
TODO
TODO
TODO
Then Katie imaged the samples of yellow dried foam residue and the brown fibrous almond-shaped objects. The yellow residue almost looked like pollen, consisting of discrete yellow particles which were clustered together. The brown fibrous objects were transparent under the microscope, and there were many black particles interspersed among the very long fibers:
TODO
TODO
TODO
TODO
TODO
TODO
When we pulled apart our sample of a brown fibrous almond-shaped object, we found that it appeared to consist entirely of the brown fiber, with yellow residue and a few dark particles embedded. Its structure reminds us of the egagropili (fiber balls) of strapweed ( Posidonia ), but we’re not sure what it actually is:
SINGLE IMAGE
View in Media Gallery
Photo of a clump of brown fibrous material, which was almond-shaped before being squeezed into a small conical tube. (Ethan Li)
Our other water samples did not have anything interesting – the microbial life in those samples may have been too small to see in the Foldscope.
Salt Marsh Pond @ Tidelands Trail
After we collected salt pond samples, we continued along Tidelands Trail past the hunter’s cabin, and we noticed what appeared to be a very small stagnant pond next to a slightly larger pond among live pickleweed, complete with pond scum and brine flies:
TODO
TODO
Using a pair of rainboots to walk through the live pickleweed and dried-up crunchy pickleweed into the edge of the pond, Ethan obtained samples from this pond from 5:30 PM to 5:40 PM, at roughly 37°31’49.7″ N, 122°04’31.9″ W, according to our phone’s GPS (we could not visually find the ponds from Google Maps satellite imagery):

Ethan collected water from this pond near its apparent edge; water from this pond beyond its apparent edge, where pickleweed plants were still submerged in water from the pond; pond scum from the pond, including some mucus-like substance; and a layer of material at the bottom of the pond which may have been a microbial mat, including black material which seemed to give off a smell like sulfur and may have been detritus or sulfur bacteria:
TODO
TODO
TODO
TODO
Ethan and Katie first imaged the sample collected from the bottom of the pond and found long green filamentous microbes (most likely either algae or cyanobacteria), along with black particles of what appeared to be either microbes or organic matter, and small clear elongated cells:
SINGLE IMAGE
View in Media Gallery
Foldscope brightfield photo of microbes collected from pond bottom. Field of view is 1 mm diameter. (Ethan Li & Katie Gu)
Foldscope exploration of sample from pond bottom. Field of view is 1 mm diameter. (Ethan Li & Katie Gu)
Ethan then noticed a red worm in this sample and prepared a sample of it, though it unfortunately got squished between the microscope slide and glass cover slip used for imaging:
SINGLE IMAGE
View in Media Gallery
Slide preparation of worm collected from pond bottom. (Ethan Li & Katie Gu)
Foldscope exploration of the worm from pond bottom. Field of view is 1 mm diameter. (Ethan Li)
Next, Katie and Ethan imaged the sample of green sheets of pond scum and clear mucus-like substance, and they found a variety of worms, crawlers, and some incredible swimmers (make sure to check out the long thin microbe from 03:50 to 4:30, and the small creature with a spiky tail from 06:10 to 07:10!):
Foldscope exploration of some pond scum. Field of view is 1 mm diameter. (Katie Gu & Ethan Li)
Then Ethan imaged the the purple-ish pond scum and saw an unusual swimmer (01:30 to 2:20), a cluster of eggs (02:40), a small roundworm (03:10), many small swimmers, some algae with remarkable symmetry (05:20 to 05:50), and another unusual unidentified organism (06:00 to 07:00):
Foldscope exploration of some more pond scum. Field of view is 1 mm diameter. (Ethan Li)
Finally, Ethan noticed some tiny invertebrate animals moving around in the sample of water collected next to some submerged pickleweed plants and found what might be a red worm with eyespots:
Foldscope exploration of a pond worm-like creature. Field of view is 1 mm diameter. (Ethan Li)
Foldscope exploration of another pond worm-like creature. Field of view is 1 mm diameter. (Ethan Li)
Ethan also examined the water sample collected from the middle of the pond but didn’t find anything interesting.
Newark Slough Bridge @ Tidelands Trail
By the time we finished collecting pond samples, the sun was starting to set and the weather was getting colder, so we decided to turn back and head back to Stanford to look at the samples we collected. On the bridge over Newark Slough (37°31’53.8″ N, 122°04’32.5″ W, according to Google Maps), David pointed out some lichen on the wood railing of the bridge, so we briefly stopped to collect a few samples:

We saw three types of lichen: a gray lichen which appeared to have a rimose thallus; a green lichen which appeared to have an areolate thallus; and an orange lichen which appeared to have a leprose thallus:
SINGLE IMAGE
View in Media Gallery
Photo of lichen samples collected from a wooden railing of a bridge. (Ethan Li)
We collected samples of each type of lichen. Ethan smashed the samples into tiny fragments, and then they observed the fragments between a microscope slide and a layer of tape with their personal Foldscope. Under brightfield, the fragments appeared opaque, but tiny filaments – which Ethan believes are fungal hyphae – were visible:
SINGLE IMAGE
View in Media Gallery
Foldscope brightfield photo of green lichen fragments. Field of view is 1 mm diameter. (Ethan Li)
Ethan also realized that slightly pushing the illumination module into an offset position allowed a transition into darkfield imaging, which they attempted to do in these Foldscope explorations of the lichen:
Foldscope exploration of a sample of the green lichen. Field of view is 1 mm diameter. (Ethan Li)
Foldscope exploration of a sample of the gray lichen. Field of view is 1 mm diameter. (Ethan Li)
Foldscope exploration of a sample of the orange lichen. Field of view is 1 mm diameter. (Ethan Li)
As Ethan remarked near the end of the video for the gray lichen, they struggled to focus the microscope while holding the illumination module in place. Afterwards, they realized that pushing the magnetic coupler to offset it on the illumination module might be sufficient to change from brightfield to darkfield without having to hold the illumination module in a special position.
We really wanted to collect a water sample from Newark Slough; however, we did not see any accessible ground next to the slough. Instead, we would need to either bring some rope to drop a container down into the water from a nearby pier, or we would need to take a sample from that pier at high tide to reach the water of the slough.
Discussion
In each of the sites we visited, we found unique biology not seen in the other sites. However, our samples from the stagnant pond in the salt marsh – including pond scum, pond water, and the sediment/microbial mat at the bottom of the pond – seemed to have the highest diversity of small swimmers, including worms and various unidentified protists and animals, visible under our Foldscope at standard magnification. Additionally, we found greater diversity and quantity of interesting organisms in samples collected from solid substrates (such as at macroalgae, near plants, or from the bottom of a pond) than from free-floating water; in either case, most of the interesting bacterial life may be at a smaller length scale than we could easily see under the Foldscope.
We encountered several difficulties with the way we used the Foldscope. In particular, using glass cover slips to mount wet samples on microscope slides was extremely frustrating, because the cover slips would get caught on the Foldscope, and the cover slips tended to squish all animals. In future imaging, we would instead prefer to use the spacers provided in the kit for imaging samples.
We’d like to return to this area in the future, when the salt ponds are more brightly colored, to explore the area in more depth and sample the biology again – and hopefully with training on how to use the Foldscope to image bacteria.
References
Johnck EJ. The South Bay Salt Pond Restoration Project: A Cultural Landscape Approach for the Resource Management Plan (2008). Sonoma State University, MA Dissertation. http://bayplanningcoalition.org/downloads/master_thesis_EJJ_sbsprp.pdf California Research Bureau, California State Library. Background Report on the Cargill Salt Ponds . Report for Senate Select Committee on Baylands Acquisition (June 2002). http://www.southbayrestoration.org/Cargill%20background%20report.html Cambra R, Leventhal A, Arellano MV, Schmidt G, and Gomez GEA. Final Report on the Burial and Archaeological Data Recovery Program Conducted on a Portion of an Early Bay Period Ohlone Indian Cemetery, Loškowiš ’Awweš Táareštak (White Salt Man Site, CA-SMA-267) Located at 1416 Bay Road, East Palo Alto, San Mateo County, California. Chapter 7: An Ethnohistory of Santa Clara Valley and Adjacent Regions. Report for Sanitation District, City of East Palo Alto (September 2014). http://www.muwekma.org/publications/archaeologicalpublications.html Monroe M, Olofson PR, Collins JN, Grossinger RM, Haltiner J, Wilcox C. Baylands Ecosystem Habitat Goals . SFEI Contribution No. 330. U. S. Environmental Protection Agency, San Francisco, Calif./S.F. Bay Regional Water Quality Control Board, Oakland, Calif (1999). https://www.sfei.org/documents/baylands-goals Coulthard G. “The Colonialism of the Present.” Interview by Epstein AB. Jacobin Magazine (January 2015). https://www.jacobinmag.com/2015/01/indigenous-left-glen-coulthard-interview/ Heidenreich L. “This Land Was Mexican Once”: Histories of Resistance from Northern California . University of Texas Press (2007) Bourgeois J. “From Salt Production to Salt Marsh.” NASA Earth Observatory (February 2017). https://earthobservatory.nasa.gov/images/87379/from-salt-production-to-salt-marsh Gies E. “Fortresses of mud: how to protect the San Francisco Bay Area from rising seas.” Nature (October 2018). https://www.nature.com/articles/d41586-018-06955-4 Rogers P. “Cargill to pay fine for toxic brine spill.” The Mercury News (November 2007). https://www.mercurynews.com/2007/11/07/cargill-to-pay-fine-for-toxic-brine-spill/ San Francisco Bay Conservation and Development Commission. Salt Ponds . Staff report (June 2005). http://www.bcdc.ca.gov/planning/reports/SaltPonds_Jun2005.pdf South Bay Salt Pond Restoration Project. “Phase 1 (2006-2016): Tracking Progress through Adaptive Management”. Report for the general public (April 2018). http://www.southbayrestoration.org/pdf_files/Science_Summary_for_the_Public_Final_Apr2018.pdf South Bay Salt Pond Restoration Project. “What Kinds of Wetlands are Included in the South Bay Salt Pond Restoration Project?” http://www.southbayrestoration.org/Fact%20Sheets/FS3.html NOAA. “What is sea foam?” https://oceanservice.noaa.gov/facts/seafoam.html

Sign in to commentNobody has commented yet... Share your thoughts with the author and start the discussion!

More Posts from Ethan Li

No more posts from this author.