Explore
All Posts
About
Shop Now
Explore
All Posts
About
Log In or Sign Up
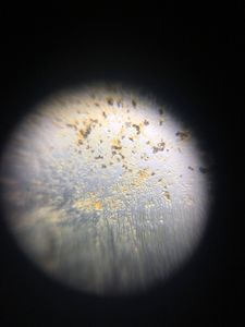
Sidama yoghurt (unstained)
May 06, 2019 • 9:46 AM UTC
Unknown Location
140x Magnification
Microorganisms
Emily Sprowls
Learn about the author...
3
posts
0
comments
1
locations
0 Applause
0 Comments
View in Media Gallery
Sign in to comment
Nobody has commented yet... Share your thoughts with the author and start the discussion!
More Posts from Emily Sprowls
Sidama yoghurt
0 Applause
0 Comments
7y
Common River School, Aleta Wendo, Ethiopia
0 Applause
0 Comments
7y
Feedback