Microcosmos Logo
ExploreAll PostsAboutShop Now
ExploreAll PostsAbout
Log In or Sign Up

Applause IconApr 16, 2016 • 7:26 AM UTC
Location IconUnknown Location
Applause Icon140x Magnification
Applause IconMicroorganisms
User Profile
DAYALBAGH UNIVERSITY - Rajaborari Campus

Learn about the author...

7posts
0comments
2locations
SINGLE IMAGE
View in Media Gallery
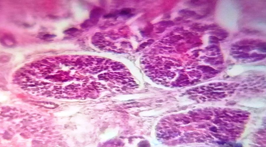
Image of Frog’s Testis captured by mounting a webcam on the Foldscope. Prepared by: Aman Sharma, Student of Class 10th (at Rajaborari; Tribal Area in Central India)

Sign in to commentNobody has commented yet... Share your thoughts with the author and start the discussion!

More Posts from DAYALBAGH UNIVERSITY - Rajaborari Campus

Thumbnail for Adventurous field sample collection at Rajaborari; a very remote tribal village located in deep Satpura ranges in Madhya Pradesh, India
Adventurous field sample collection at Rajaborari; a very remote tribal village located in deep Satpura ranges in Madhya Pradesh, India
0 Applause0 Comments
7y
Thumbnail for Slide preparation after adventurous field sample collection in tribal village Rajaborari (M.P., India)
Slide preparation after adventurous field sample collection in tribal village Rajaborari (M.P., India)
0 Applause0 Comments
7y
Thumbnail for Inter-school Foldscope and Frugal Innovation Camp at Tribal Village Rajaborari (M.P.) India
Inter-school Foldscope and Frugal Innovation Camp at Tribal Village Rajaborari (M.P.) India
0 Applause0 Comments
7y
Thumbnail for Inside a head lice nit/egg! An exploration during a Foldscope competition among tribal students
Inside a head lice nit/egg! An exploration during a Foldscope competition among tribal students
0 Applause0 Comments
9y
Thumbnail for Foldscope now being used by students in Tribal Areas of India!
Foldscope now being used by students in Tribal Areas of India!
0 Applause0 Comments
10y
Suggested post thumbnail
Untitled Post
0 Applause0 Comments
10y
Microcosmos

About

Explore

All Posts

Brought to you by

Foldscope

© 2024 Microcosmos

Contact

Terms and Conditions

Social Media