Observing pollen grains from lily (or is it) flowers

Applause IconMay 11, 2019 • 11:12 AM UTC
Location IconUnited States
Applause Icon140x Magnification
Applause IconUnknown
User Profile

Learn about the author...

3posts
0comments
2locations
TODO
TODO
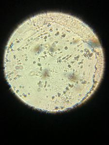
Above is an image of yellow, translucent, rice grain-shaped pollen grains that came from the orangish purplish flower pictured to the right. It’s pretty amazing how definite the pollen grains are shaped, as with the naked eye it simply just looks like fine powder. This sample of pollen was taken from the flower in the picture on May 9, 2019 at 9:00 pm (not ideal time for flower hunting, but it happened), on a patch of flowers at the side of the Broad Center for the Biological Sciences at California Institute of Technology. I happened to be walking out of my recitation section this Bi 1 class and the moment I walked out of the building, I spotted a few rather large looking flowers on a mostly sparse patch (haha) that held promise for nice pollen samples (specifically the one in the picture above). As expected, at the center of the flower, there were pronounced stamen with anthers that were covered with pollen. So I actually plucked an entire stamen out (I don’t actually know if this is a good idea, but I wanted to bring the sample back to a room with a bright light).
After observing the pollen for a bit and the picture of the flower itself, I went on an Internet hunt to see what this flower could possibly be. It did strongly resemble a lily, so I started with that. Turns out there are so many different types of lilies…so many…but if you start to observe characteristic features of lilies (which I did in this site ), these lilies resembled ones from the division of Asiatic hybrids, where the stamen aren’t too pronounced and the flower generally seems to look proportioned with the petals not bending back completely. Further research and scrolling through pictures of lilies eventually landed me observing different types of orange lilies, since this flower was orangish with slight purple/red tones. Eventually I came to the conclusion that this flower, characterized by its yellow pollen, small stamen/anthers, and predominantly orange color is an orange daylily, or Hemerocallis fulva . Apparently this flower is NOT a true lily but gets its name from its resemblance to lilies, since it is not in the genus Lilium. They are native to Asia and grow well in temperate climates. Although in my opinion there was probably some sort of cross breeding of other flowers involved because my flower above seems to carry darker colors (or maybe that was just the time of day). #caltechbi1

Sign in to commentNobody has commented yet... Share your thoughts with the author and start the discussion!

More Posts from Jina Lee