Explore
All Posts
About
Shop Now
Explore
All Posts
About
Log In or Sign Up
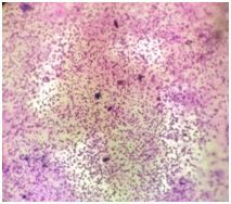
25% Haemtocrit Schizont stage with haemozoin pigments
Aug 01, 2019 • 1:19 AM UTC
Unknown Location
140x Magnification
Unknown
Jolitha Sagar
Learn about the author...
20
posts
0
comments
1
locations
0 Applause
0 Comments
View in Media Gallery
Microscopic view
View in Media Gallery
foldscope view
Sign in to comment
Nobody has commented yet... Share your thoughts with the author and start the discussion!
More Posts from Jolitha Sagar
Plasmodium falciparum 25% Haemtocrit Gametocyte stage
0 Applause
0 Comments
6y
Plasmodium falciparum 25%Haemtocrit Schizont stage
0 Applause
0 Comments
6y
25% Haemtocrit: Ring stage with haemozoin pigments
0 Applause
0 Comments
6y
Plasmodium falciparum 25%Haemtocrit: Ring stages
0 Applause
0 Comments
6y
Plasmodium falciparum 15% Haemtocrit at 72 hrs: Gaemtocyte stage
0 Applause
0 Comments
6y
15%Haemtocrit Schizont stage with Haemozoin pigments
0 Applause
0 Comments
6y
Plasmodium falciparum 15 %Haemtocrit Schizont stage
0 Applause
0 Comments
6y
Plasmodium falciparum Haemozoin pigments at schizont stage
0 Applause
0 Comments
6y
plasmodium falciparum,5% Haemtocrit stage of Schizont stage with Haemozoin pigments
0 Applause
0 Comments
6y
Plasmodium falciparum 5%H 48 Hrs Schizont stage
0 Applause
0 Comments
6y
Plasmodium falciparum 5% Haemtocrit : Ring Stages with Pencillin and Streptomycin 24 hrs
0 Applause
0 Comments
6y
Plasmodium falciparum 5% Haemtocrit Haemozoin stained Gametocyte stage
0 Applause
0 Comments
6y
Plasmodium falciparum at 5%Haemtocrit 72 hrs
0 Applause
0 Comments
6y
One day workshop on Foldscope in Maharani Lakshmi Ammanni college for women Autonomous on 03/12/2018
0 Applause
0 Comments
7y
Parasitemia estimation of Plasmodium falciparum at 5%,15%,25% Haemtocrait
0 Applause
0 Comments
7y
Parasitemia estimation of Plasmodium falciparum at 5%, Haemtocrait
0 Applause
0 Comments
7y
Placmodium falciparum different stages observed under foldscope and microscope
0 Applause
0 Comments
7y
Plasmodium falciparum different stages observed under foldscope and light microscope
0 Applause
0 Comments
7y
Plasmodium falciparum different stages observed under Foldscope
0 Applause
0 Comments
7y
Feedback