First time with Foldscope

Applause IconMay 14, 2020 • 3:15 AM UTC
Location IconUnknown Location
Applause Icon140x Magnification
Applause IconMicroorganisms
User Profile

Learn about the author...

1posts
0comments
1locations
SINGLE IMAGE
View in Media Gallery
Yesterday I got my Foldscope kit delivered, nice! Assembling it took about half an hour. At first I tried it with some slides that came included with the foldscope, the mosquito head and fern rhizome, which looked great under the foldscope, with the hairs on the mosquito antenna very sharply rendered.
SINGLE IMAGE
View in Media Gallery
First foldscope pic of mosquito mouthparts slide.
SINGLE IMAGE
View in Media Gallery
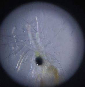
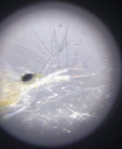
Fern rhizome slide Next, I tried it on live pond critters, by preparing a paper slide with some living Daphnia . This also worked well, but focusing can sometimes be a challenge. I attached the foldscope to my phone and could make some nice movies of the Daphnia. Also tried using the led magnifier when attached to the phone, which is very useful. Also cool how you can use the magnifier for different lighting methods. With diffuser sticker for nice even brightfield, or move the coupler attached to the led magnifier to get oblique/darkfield-like lighting.
SINGLE IMAGE
View in Media Gallery
Live Daphnia illuminated using the led magnifier with diffuser sticker
TODO
TODO
TODO
Live Daphnia illuminated using the led magnifier without diffuser sticker, lighting at various angles by moving the magnetic coupler in the magnifier

Sign in to commentNobody has commented yet... Share your thoughts with the author and start the discussion!

More Posts from Lodewijk van Walraven

No more posts from this author.