Microcosmos Logo
ExploreAll PostsAboutShop Now
ExploreAll PostsAbout
Log In or Sign Up

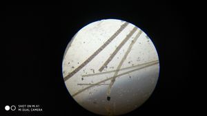
Oscillatoria seen under foldscope microscope in River water of gangotri

Applause IconNov 19, 2018 • 2:31 AM UTC
Location IconUnknown Location
Applause Icon140x Magnification
Applause IconMicroorganisms
User Profile
arun agrawal

Learn about the author...

11posts
0comments
1locations
TODO
TODO
TODO
TODO
TODO

Sign in to commentNobody has commented yet... Share your thoughts with the author and start the discussion!

More Posts from arun agrawal

Thumbnail for Spirogyra seen by foldscope at the gangotri in water sample
Spirogyra seen by foldscope at the gangotri in water sample
0 Applause0 Comments
7y
Thumbnail for Foldscope assembly and utility workshop at govt.p.g. college Uttarkashi
Foldscope assembly and utility workshop at govt.p.g. college Uttarkashi
0 Applause0 Comments
7y
Thumbnail for Hydrodicyon seen under Foldscope microscope
Hydrodicyon seen under Foldscope microscope
0 Applause0 Comments
7y
Thumbnail for Bga seen in foldscope such as volvox and hydrodicyon
Bga seen in foldscope such as volvox and hydrodicyon
0 Applause0 Comments
7y
Thumbnail for Foldscope assembly, orientation and utility workshop at Rishiram shikshan sansthan.. uttarkashi
Foldscope assembly, orientation and utility workshop at Rishiram shikshan sansthan.. uttarkashi
0 Applause0 Comments
7y
Thumbnail for T.S. fruiting body of Stemonitis Slime Mold Collected from Uttarkashi.
T.S. fruiting body of Stemonitis Slime Mold Collected from Uttarkashi.
0 Applause0 Comments
7y
Thumbnail for Students of ggic uttarkashi using Foldscope.
Students of ggic uttarkashi using Foldscope.
0 Applause0 Comments
7y
Suggested post thumbnail
Untitled Post
0 Applause0 Comments
7y
Suggested post thumbnail
Untitled Post
0 Applause0 Comments
7y
Thumbnail for Presentation of foldscope organised in kv school uttarkashi
Presentation of foldscope organised in kv school uttarkashi
0 Applause0 Comments
7y
Microcosmos

About

Explore

All Posts

Brought to you by

Foldscope

© 2024 Microcosmos

Contact

Terms and Conditions

Social Media