Explore
All Posts
About
Shop Now
Explore
All Posts
About
Log In or Sign Up
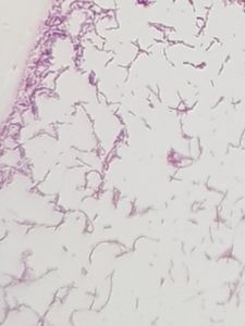
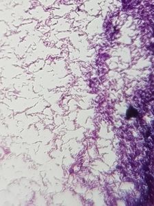
soil bacteria under fold scope
Dec 11, 2018 • 5:35 AM UTC
Unknown Location
140x Magnification
Microorganisms
Arulventhan M
Learn about the author...
1
posts
0
comments
1
locations
0 Applause
0 Comments
Sign in to comment
Nobody has commented yet... Share your thoughts with the author and start the discussion!
More Posts from Arulventhan M
No more posts from this author.
Feedback