Activity

unknown
10
Unknown
microorganisms
0
Microorganisms
fungi
0
Fungi & Lichen
plants
0
Plants
insects-arachnids
0
Insects
animals
0
Animals
nonliving
0
Non Living
information
0
Information
workshops-events
0
Workshops
lesson-events
0
Lesson Plans
MediaPostsSimilar Foldscopers

Mediashowing 10 of 10

Neutophilic-leucocytosis-2.jpg
Photo posted on Jan 19, 2026
image
Lymphocytosis.jpg
Photo posted on Jan 19, 2026
image
neutrophilic-leucocytosis1.jpg
Photo posted on Jan 19, 2026
image
nucleted-RBC.jpg
Photo posted on Jan 19, 2026
image
Picture1-1.jpg
Photo posted on Jan 19, 2026
image
Trypanosomes.jpg
Photo posted on Jan 19, 2026
image
20180719_110802.jpg
Photo posted on Dec 23, 2025
image
20180719_094230.jpg
Photo posted on Dec 23, 2025
image
Anthracosis-2.jpg
Photo posted on Dec 23, 2025
image
Anthracosis-1-1.jpg
Photo posted on Dec 23, 2025
image

More Posts from Vishal Mahajanshowing 10 of 10

Thumbnail for Neutrophilic leucocytosis in dog
Neutrophilic leucocytosis in dog
0 Applause0 Comments
7y
Thumbnail for Neutrophilic leucocytosis in dog
Neutrophilic leucocytosis in dog
0 Applause0 Comments
7y
Thumbnail for Lymphocytosis in cattle
Lymphocytosis in cattle
0 Applause0 Comments
7y
Thumbnail for Trypanosomes in Leishman stained blood smear of cattle
Trypanosomes in Leishman stained blood smear of cattle
0 Applause0 Comments
7y
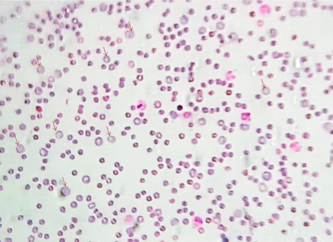
Thumbnail for Nucleated RBC in Leishman Stained Blood smear
Nucleated RBC in Leishman Stained Blood smear
0 Applause0 Comments
7y
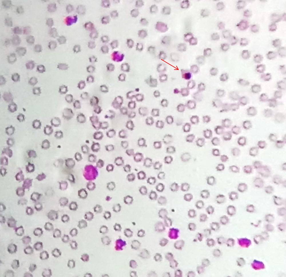
Thumbnail for Polychromatophilic RBC in blood smear of Dog- Leishman’s Stain
Polychromatophilic RBC in blood smear of Dog- Leishman’s Stain
0 Applause0 Comments
7y
Thumbnail for Perivascular cuffing in brain
Perivascular cuffing in brain
0 Applause0 Comments
7y
Thumbnail for Gout (needle shaped uric acid crystal- Degalantha stain)
Gout (needle shaped uric acid crystal- Degalantha stain)
0 Applause0 Comments
7y
Thumbnail for Anthracosis
Anthracosis
0 Applause0 Comments
7y
Thumbnail for Anthracosis
Anthracosis
0 Applause0 Comments
7y

Similar Foldscopers

No biography available.
No post images available.
Dr. Shweta Singh Scientist, ICAR-NOFRI Plant Pathology
No post images available.
No biography available.
No post images available.
No biography available.
No post images available.
No biography available.
No post images available.
No biography available.
No post images available.
Junior Research Fellow, The D. G. Ruparel College, Mumbai.
No post images available.
No biography available.
No post images available.
No biography available.
No post images available.
Junior Research Fellow, The D.G.Ruparel College, Mumbai.
No post images available.