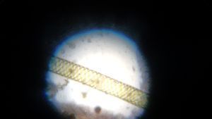
Phytoplankton from Sample 56 under foldscope

Applause IconJan 10, 2019 • 2:44 AM UTC
Location IconUnknown Location
Applause Icon140x Magnification
Applause IconUnknown
User Profile

Assistant Professor Department of Botany Alipurduar College West Bengal

26posts
3comments
1locations
SINGLE IMAGE
View in Media Gallery
Sample 56, water sample collected from a small river called Chopro nadi (called by local people). The area is very near to Mathura tea garden of Alipurduar I. Good number of phytoplankton are observed under foldscope like Closterium, Spirogyra, Oscillatoria, Suriella, Pinnularia and Zygnema.
TODO
TODO
TODO
TODO
TODO
Oscillatoria
TODO
TODO
TODO
TODO
Unidentified diatom

Sign in to commentNobody has commented yet... Share your thoughts with the author and start the discussion!

More Posts from Jyotsna Das