A Flower Pollen Sample in Southern California

Applause IconMay 09, 2019 • 10:26 PM UTC
Location IconUnited States
Applause Icon140x Magnification
Applause IconUnknown
User Profile

Learn about the author...

3posts
0comments
3locations
SINGLE IMAGE
View in Media Gallery
A picture of a flower bush where the flower was taken from.
SINGLE IMAGE
View in Media Gallery
A satellite view of the location in Pasadena, CA where the flower was found. [source: Google maps]
5/8/19 4:30pm plucked a flower from the south west corner of Caltech’s campus. Prepared sample by rubbing the center of the flower on a slide then taping on a cover slide (on the sides). The flower was yellow with red and the center and serrated edges, and it was about 2 inches across.
SINGLE IMAGE
View in Media Gallery
A close up of the flower I used.
I identified the flower to be a Coreopsis grandiflora of the family Asteraceae, also called a large-flowered tickseed. it is also referred to with the names Baby Sun, Sun Kiss, Early Sunrise, or Sun Ray. The image I took looks almost identical to the image below.
SINGLE IMAGE
View in Media Gallery
A picture of Coreopsis grandiflora [source:
https://www.waltersgardens.com/variety.php?ID=CORKI ].
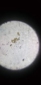
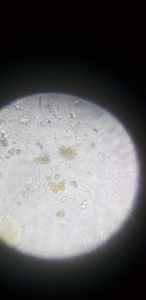
I took a few images of the pollen with my foldscope and my phone camera (Samsung Note 9). The pollen is small, yellow, and circular and found in clusters. A few larger pieces of other plant material and some yellow looking liquid can also be seen. I also took some close up photos using the optical zoom on my phone. In these, you can see the spherical spiked structure of the pollen
TODO
TODO
A 140x foldscope image. There are many small yellow circles.
TODO
TODO
TODO
TODO
The foldscope lens is 140x magnification. Based on other foldscope images, this pollen is probably on the order of magnitude of about 10 – 30 microns. How to get more pollen on to the slide? The pollen was difficult to find. Maybe there is some way to dissect the flower.
#caltechbi1

Sign in to commentNobody has commented yet... Share your thoughts with the author and start the discussion!

More Posts from Rebecca Mikofsky