We’ve reached a split end

Applause IconMay 31, 2019 • 2:22 PM UTC
Location IconUnknown Location
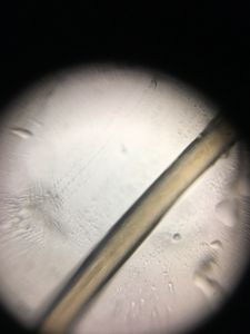
Applause Icon140x Magnification
Applause IconUnknown
User Profile

Learn about the author...

9posts
0comments
1locations
SINGLE IMAGE
View in Media Gallery
Irene Chang Sec 7, Extra Credit Submission 3
Sample Name: haha, Irene Chang
Date/Time: 5/30 at 9:12 pm in my room
End of hair strand was obtained by directly plucking off head. Drop of water was placed on slide, hair strand was placed on, and cover slip was added. Photo was then taken.
My hair is naturally black, but I’ve dyed my hair about 4 times now, so it’s kind of a blond/light brown color. The image obtained makes the strand look translucent which is pretty interesting. My hair strand also looks healthier than I would have expected.
#caltechbi1
TODO
TODO

Sign in to commentNobody has commented yet... Share your thoughts with the author and start the discussion!

More Posts from Irene Chang