Fibers from Nature -2 (Spider silk)

Applause IconJun 21, 2018 • 10:26 PM UTC
Location IconUnknown Location
Applause Icon140x Magnification
Applause IconMicroorganisms
User Profile

Learn about the author...

20posts
1comments
1locations
SINGLE IMAGE
View in Media Gallery
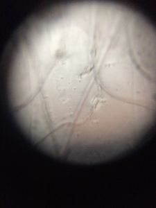
In the corner of my house, I spotted a web. Fixed it on a slide using a cellotape and viewed it through the Foldscope. I was astonished as it revealed the facts about it as a fiber material .
TODO
TODO
The spotted spider web
A spiderweb commonly found in all house hold as a dreaded thing can be more than that. Spiders are able to rig a web just about anywhere.
Sparkling in the sunlight, this material has a remarkable strength-to-weight ratio.
It is a silky high strength fiber Its tensile strength is comparable to that of steel It is lighter It is highly elastic and can stretch as a rubber band These traits in combination make it a tough fiber
TODO
TODO
TODO
TODO
Fibers of different color and thickness could be seen in the captured images. Also it was noted that some sticky thing is present around the fibers, around which probably the dust is glued.
A spider generates silk in specialized glands in its abdomen, and creates the silk strands using a spinning organ called a spinneret. Some spiders produce up to seven types of silk , each with its own purpose and attributes.
However, spider silk cannot be farmed in large quantities because spiders are cannibals , and will eat one another in close proximity. So scientists are producing Synthetic spider silk. It could be the biggest technological advancement in clothing. Synthetic spider silk could be used for everything from automobile parts to medical devices to performance outdoor gear, which is the area that’s attracting attention these days.
Aman Arjil
B.Sc 2nd year
GGDSDCollege, Chandigarh

Sign in to commentNobody has commented yet... Share your thoughts with the author and start the discussion!

More Posts from parul parul