Fungal growth on sheath of corn cob

Applause IconJul 13, 2018 • 4:07 AM UTC
Location IconUnknown Location
Applause Icon140x Magnification
Applause IconMicroorganisms
User Profile

Learn about the author...

21posts
4comments
1locations
SINGLE IMAGE
View in Media Gallery
I had gone for roasted corn cob (called Bhutta in my native language), when I landed on this foldscope adventure. Corn cobs are a delicacy in monsoons, however, before the vendor could roast it on charcoal fire, I noticed black moldy growth on the outer layer of the corn husk.
TODO
TODO
Surprisingly, another fungal disease symptom – a rotting spot was also visible on the same husk. I took the unroasted cob and under the foldscope viewed the different types of fungi.
TODO
TODO
I think the moldy growth could be a saprophytic fungus feeding on dead plant material due to humid conditions in the rainy season.
TODO
TODO
TODO
TODO
TODO
TODO
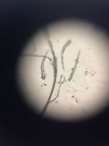
Both the types of fungi together
But the conidiophores like structures were clearly noticed in the other ring spot on the cob covering.
TODO
TODO
TODO
TODO
TODO
TODO

Sign in to commentNobody has commented yet... Share your thoughts with the author and start the discussion!

More Posts from Gagandeep Singh