Explore
All Posts
About
Shop Now
Explore
All Posts
About
Log In or Sign Up
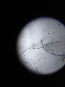
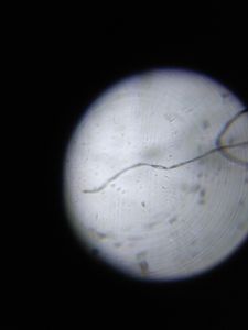
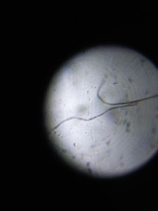
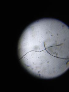
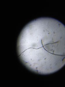
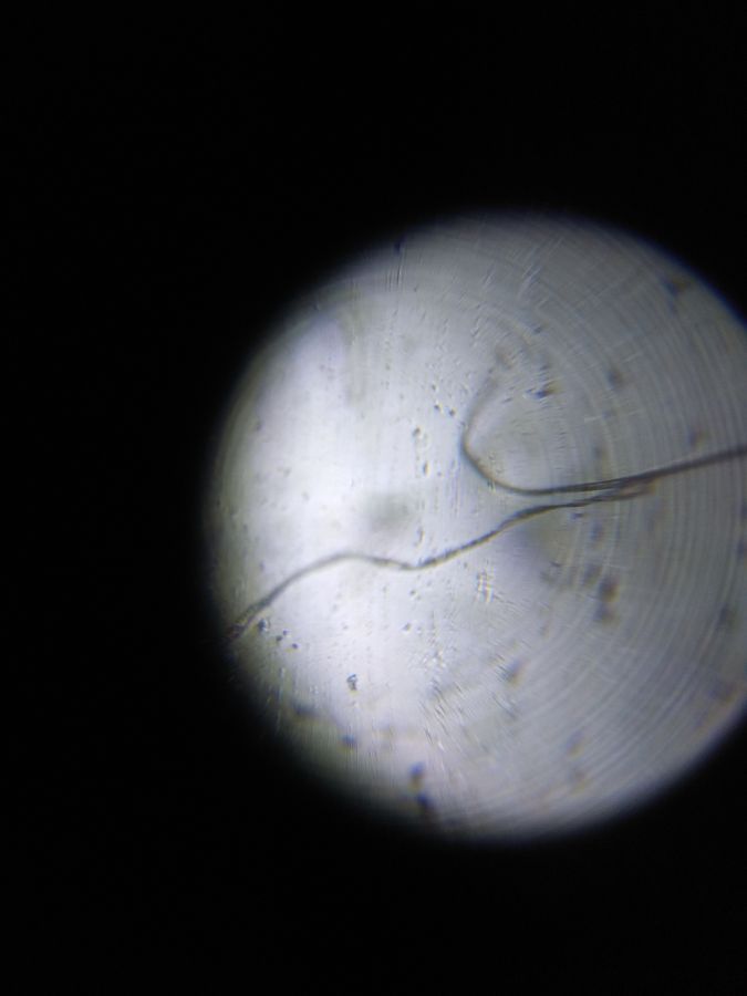
GIANT (POLYTENE) CHROMOSOME
Sep 27, 2018 • 3:52 AM UTC
Unknown Location
140x Magnification
Microorganisms
Charandeep Singh
Learn about the author...
5
posts
0
comments
1
locations
0 Applause
0 Comments
View in Media Gallery
I extracted giant (polytene) chromosome from the salivary glands of chironomus larvae.
Sign in to comment
Nobody has commented yet... Share your thoughts with the author and start the discussion!
More Posts from Charandeep Singh
STAINED NUCLEIC ACID WITH ACETOCARMINE
0 Applause
0 Comments
6y
ONION PEEL UNDER FOLDSCOPE
0 Applause
0 Comments
7y
INTESTINE OF CRICKET STAINED WITH SAFRANINE
0 Applause
0 Comments
7y
RAFTS (GROUP OF EGGS) OF MOSQUITOES
0 Applause
0 Comments
7y
Feedback