Explore
All Posts
About
Shop Now
Explore
All Posts
About
Log In or Sign Up
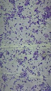
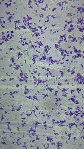
Microscopical Examination of Lactic acid bacteria isolated from ethnic fermented fish and fermented bamboo shoots of West Garo Hills, Meghalaya, India.
Nov 27, 2018 • 10:36 PM UTC
Unknown Location
140x Magnification
Microorganisms
SUJIT DAS
Learn about the author...
4
posts
1
comments
1
locations
0 Applause
0 Comments
Sign in to comment
Nobody has commented yet... Share your thoughts with the author and start the discussion!
More Posts from SUJIT DAS
Identification of Fusarium sp. growing on Finger millet using Foldscope
0 Applause
0 Comments
7y
Stomatal opening (Piper betle)
0 Applause
0 Comments
7y
Gram staining of Lactobacillus helveticus isolated from fermented fish samples of Garo Hills, Meghalaya, India.
0 Applause
0 Comments
7y
Feedback