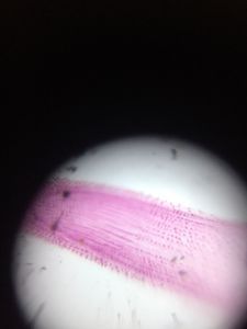
Onion Root Tip

Applause IconDec 10, 2018 • 6:44 AM UTC
Location IconUnknown Location
Applause Icon140x Magnification
Applause IconMicroorganisms
User Profile

Learn about the author...

6posts
1comments
1locations
TODO
TODO
TODO
TODO
TODO
TODO
TODO
TODO
TODO
I have recently got an opportunity to attend a workshop at GGDSD college, CHANDIGARH. I was amazed to see Foldscope and its wonderful working. The slide which I have seen was of onion root tip.
Harsh

Sign in to commentNobody has commented yet... Share your thoughts with the author and start the discussion!

More Posts from samriti dhawan