Microcosmos Logo
ExploreAll PostsAboutShop Now
ExploreAll PostsAbout
Log In or Sign Up

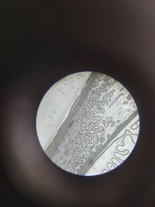
Alovera

Applause IconFeb 24, 2019 • 2:36 AM UTC
Location IconUnknown Location
Applause Icon140x Magnification
Applause IconUnknown
User Profile
Rakshita Ukesh

Wildlife Photographer. Microbiologist. Traveller. Love to trek.

26posts
0comments
1locations
SINGLE IMAGE
View in Media Gallery
Slide shows upper and lower epidermis of Alovera. Slide is prepared by krutika Manmode from shri shivaji science college.
TODO
TODO
TODO

Sign in to commentNobody has commented yet... Share your thoughts with the author and start the discussion!

More Posts from Rakshita Ukesh

Thumbnail for Unidentified
Unidentified
0 Applause0 Comments
7y
Thumbnail for Aloe vera
Aloe vera
0 Applause0 Comments
7y
Thumbnail for Monocot ornamental plant
Monocot ornamental plant
0 Applause0 Comments
7y
Suggested post thumbnail
Untitled Post
0 Applause0 Comments
7y
Thumbnail for Coleus sp.
Coleus sp.
0 Applause0 Comments
7y
Thumbnail for Lily sp.
Lily sp.
0 Applause0 Comments
7y
Suggested post thumbnail
Untitled Post
0 Applause0 Comments
7y
Thumbnail for Kalanchoe leaves
Kalanchoe leaves
0 Applause0 Comments
7y
Thumbnail for Bauhinia purpurea
Bauhinia purpurea
0 Applause0 Comments
7y
Thumbnail for Alo vera
Alo vera
0 Applause0 Comments
7y
Thumbnail for Diffenbachia sp.
Diffenbachia sp.
0 Applause0 Comments
7y
Suggested post thumbnail
Untitled Post
0 Applause0 Comments
7y
Suggested post thumbnail
Untitled Post
0 Applause0 Comments
7y
Suggested post thumbnail
Untitled Post
0 Applause0 Comments
7y
Suggested post thumbnail
Untitled Post
0 Applause0 Comments
7y
Suggested post thumbnail
Untitled Post
0 Applause0 Comments
7y
Suggested post thumbnail
Untitled Post
0 Applause0 Comments
7y
Suggested post thumbnail
Untitled Post
0 Applause0 Comments
7y
Suggested post thumbnail
Untitled Post
0 Applause0 Comments
7y
Suggested post thumbnail
Untitled Post
0 Applause0 Comments
7y
Microcosmos

About

Explore

All Posts

Brought to you by

Foldscope

© 2024 Microcosmos

Contact

Terms and Conditions

Social Media