Microcosmos Logo
ExploreAll PostsAboutShop Now
ExploreAll PostsAbout
Log In or Sign Up

Unidentified

Applause IconFeb 27, 2019 • 7:54 AM UTC
Location IconUnknown Location
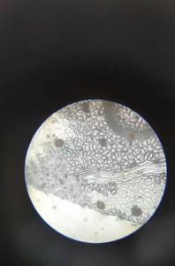
Applause Icon140x Magnification
Applause IconUnknown
User Profile
Rakshita Ukesh

Wildlife Photographer. Microbiologist. Traveller. Love to trek.

26posts
0comments
1locations
SINGLE IMAGE
View in Media Gallery
Student name=Pallavi C Bhujade
College name=Shri Shivaji Science College, Amravati
Plant information= the slide shows the epidermal cells having stomata on it.the plant leaves colour is greenwith pink margin.
TODO
TODO
TODO

Sign in to commentNobody has commented yet... Share your thoughts with the author and start the discussion!

More Posts from Rakshita Ukesh

Thumbnail for Aloe vera
Aloe vera
0 Applause0 Comments
7y
Thumbnail for Monocot ornamental plant
Monocot ornamental plant
0 Applause0 Comments
7y
Suggested post thumbnail
Untitled Post
0 Applause0 Comments
7y
Thumbnail for Coleus sp.
Coleus sp.
0 Applause0 Comments
7y
Thumbnail for Lily sp.
Lily sp.
0 Applause0 Comments
7y
Suggested post thumbnail
Untitled Post
0 Applause0 Comments
7y
Thumbnail for Kalanchoe leaves
Kalanchoe leaves
0 Applause0 Comments
7y
Thumbnail for Bauhinia purpurea
Bauhinia purpurea
0 Applause0 Comments
7y
Thumbnail for Alovera
Alovera
0 Applause0 Comments
7y
Thumbnail for Alo vera
Alo vera
0 Applause0 Comments
7y
Thumbnail for Diffenbachia sp.
Diffenbachia sp.
0 Applause0 Comments
7y
Suggested post thumbnail
Untitled Post
0 Applause0 Comments
7y
Suggested post thumbnail
Untitled Post
0 Applause0 Comments
7y
Suggested post thumbnail
Untitled Post
0 Applause0 Comments
7y
Suggested post thumbnail
Untitled Post
0 Applause0 Comments
7y
Suggested post thumbnail
Untitled Post
0 Applause0 Comments
7y
Suggested post thumbnail
Untitled Post
0 Applause0 Comments
7y
Suggested post thumbnail
Untitled Post
0 Applause0 Comments
7y
Suggested post thumbnail
Untitled Post
0 Applause0 Comments
7y
Suggested post thumbnail
Untitled Post
0 Applause0 Comments
7y
Microcosmos

About

Explore

All Posts

Brought to you by

Foldscope

© 2024 Microcosmos

Contact

Terms and Conditions

Social Media