Activity

microorganisms
7
Microorganisms
unknown
1
Unknown
fungi
0
Fungi & Lichen
plants
0
Plants
insects-arachnids
0
Insects
animals
0
Animals
nonliving
0
Non Living
information
0
Information
workshops-events
0
Workshops
lesson-events
0
Lesson Plans
MediaPostsSimilar Foldscopers

Mediashowing 8 of 8

Picture8.jpg
Photo posted on Jan 19, 2026
image
Picture7.jpg
Photo posted on Jan 19, 2026
image
Picture6.jpg
Photo posted on Jan 19, 2026
image
oro-1.jpg
Photo posted on Jan 19, 2026
image
Picture2.jpg
Photo posted on Dec 23, 2025
image
Ani1.jpg
Photo posted on Dec 23, 2025
image
DCLi-..1.jpg
Photo posted on Dec 23, 2025
image
Picture3.jpg
Photo posted on Dec 23, 2025
image

More Posts from Anindita Tripathyshowing 8 of 8

Thumbnail for Detecting Hepatitis B virus associated cellular changes in needle aspirate samples of HBV linked Hepatocellular carcinoma patients.
Detecting Hepatitis B virus associated cellular changes in needle aspirate samples of HBV linked Hepatocellular carcinoma patients.
0 Applause0 Comments
7y
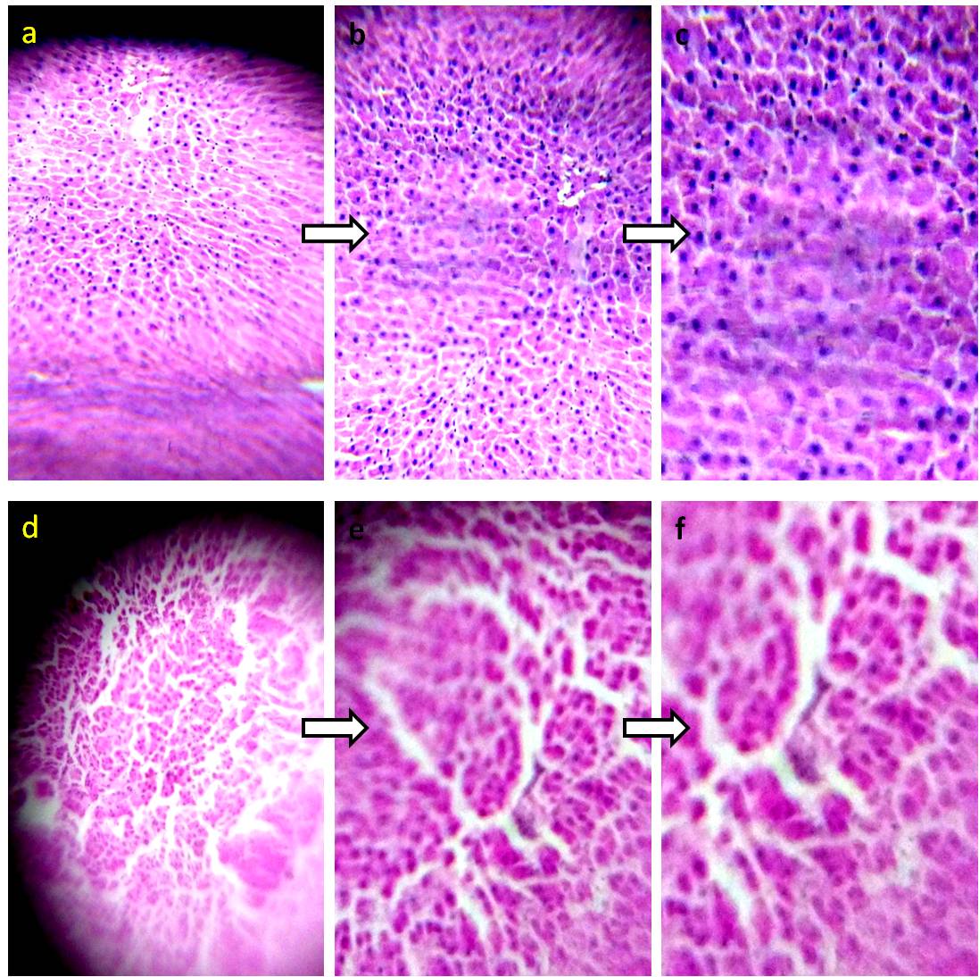
Thumbnail for Oil red-O Stained Rat liver section –  DEN induced hepatocarcinogenesis observed under foldscope.
Oil red-O Stained Rat liver section – DEN induced hepatocarcinogenesis observed under foldscope.
0 Applause0 Comments
7y
Thumbnail for Stained Rat liver section observed under foldscope
Stained Rat liver section observed under foldscope
0 Applause0 Comments
7y
Thumbnail for DEN  induced hepatocarcinogenesis Rat liver section with Oil red-O staining.
DEN induced hepatocarcinogenesis Rat liver section with Oil red-O staining.
0 Applause0 Comments
7y
Thumbnail for Detecting Hepatitis B virus associated cellular changes in needle aspirate samples of HBV linked Hepatocellular carcinoma patients of different stages
Detecting Hepatitis B virus associated cellular changes in needle aspirate samples of HBV linked Hepatocellular carcinoma patients of different stages
0 Applause0 Comments
7y
Thumbnail for Photomicrographs of H & E stained Rat liver section –DEN  induced hepatocarcinogenesis .
Photomicrographs of H & E stained Rat liver section –DEN induced hepatocarcinogenesis .
0 Applause0 Comments
7y
Thumbnail for Detecting Hepatitis B virus associated cellular changes in needle aspirate samples of HBV linked Hepatocellular carcinoma patients of different stages
Detecting Hepatitis B virus associated cellular changes in needle aspirate samples of HBV linked Hepatocellular carcinoma patients of different stages
0 Applause0 Comments
7y
Thumbnail for Detecting Hepatitis B virus associated cellular changes in needle aspirate samples of HBV linked Hepatocellular carcinoma patients of different stages
Detecting Hepatitis B virus associated cellular changes in needle aspirate samples of HBV linked Hepatocellular carcinoma patients of different stages
0 Applause0 Comments
7y

Similar Foldscopers

No biography available.
No post images available.
No biography available.
No post images available.
No biography available.
No post images available.
No biography available.
No post images available.
No biography available.
No post images available.
No biography available.
No post images available.
No biography available.
No post images available.
We are grup of students in Dogan College.
No post images available.
I am Rajkumar S ,HOD,Assistant Professor, Don Bosco College,Maram,Manipur. Full Address: Don Bosco College, Maram, Manipur-795015. Website : www.dbcmaram.com Contact Number of the Applicant: RajKumar. S, HOD, Department of Biotechnology, Mobile Number: 9774604465 About Don Bosco College The Don Bosco College is permanently Affiliated to Manipur University and Re-Accredited by NAAC with "A" Grade, CGPA 3.35. The college was accorded the status of CPE ( College with potential for excellence).
No post images available.
No biography available.
No post images available.