Explore
All Posts
About
Shop Now
Explore
All Posts
About
Log In or Sign Up
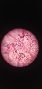
TS OF A STEM TO SHOW TRICHOMES
Jan 02, 2019 • 5:20 AM UTC
Unknown Location
140x Magnification
Microorganisms
Abhijeet Dewari
Learn about the author...
26
posts
0
comments
2
locations
0 Applause
0 Comments
T.s. of stem to show trichomes (shoot hair), leaf epidermis to show stomata, onion root tip to show mitosis, spine and root hair under foldscope…
View in Media Gallery
Dr. Shweta Nailwal mam experimented and made this effort to show us these images।।।।।
Sign in to comment
Nobody has commented yet... Share your thoughts with the author and start the discussion!
More Posts from Abhijeet Dewari
SCIENCE IS THE GREAT ANTIDOTE TO THE POISON OF ENTHUSIASM😄♥
0 Applause
0 Comments
7y
LAKES INTERNATIONAL ORGANIZED A FANTABULOUS WORKSHOP
0 Applause
0 Comments
7y
Workshop Arranged and Demonstration done in an Exemplary way
0 Applause
0 Comments
7y
Workshop successfully conducted and the foldscope experiments were really appreciated
0 Applause
0 Comments
7y
The Chlollera culture found in the native place😄♥
0 Applause
0 Comments
7y
Spotted dove sitting on the stone…. Nature’s ♥ by Abhi
0 Applause
0 Comments
7y
Beautiful blue magpie running in the town….. Nature’s ♥ by Abhi
0 Applause
0 Comments
7y
I wonder if she is thinking for a food! Or is in a Deep Thought… Nature’s ♥ By Abhi
0 Applause
0 Comments
7y
Sïllý But Biologist have to test it😄👍 …… URINE OBSERVATION by Abhi
0 Applause
0 Comments
7y
RBC’s observed today….. The cut i got , blood collected from there! By Abhi
0 Applause
0 Comments
7y
And There is much to be done…… Back_To_Work by Abhi
0 Applause
0 Comments
7y
In the meantime lets sit and give a pose: Nature’s ♥ by Abhi
0 Applause
0 Comments
7y
The beauty of Flowers in a bunch….. Nature has blessed us by Abhi
0 Applause
0 Comments
7y
Sunflower seed’s cover observation
0 Applause
0 Comments
7y
I wonder what is it thinking ….?: Nature’s ♥ by Abhi
0 Applause
0 Comments
7y
A very huge snail: pic by ABhi
0 Applause
0 Comments
7y
The White sun
0 Applause
0 Comments
7y
Actually True, Maa can only understand the pain of offspring
0 Applause
0 Comments
7y
Clever and smart Owl:Nature’s diary by Abhi
0 Applause
0 Comments
7y
A beautiful butterfly at my house
0 Applause
0 Comments
7y
Feedback