Pond Water

Applause IconApr 16, 2019 • 5:22 PM UTC
Location IconUnknown Location
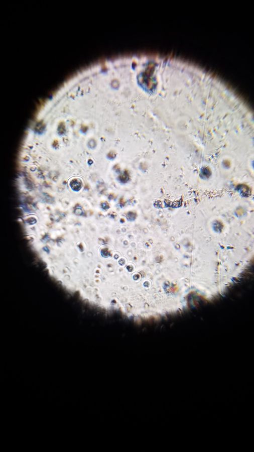
Applause Icon140x Magnification
Applause IconUnknown
User Profile

Learn about the author...

12posts
0comments
1locations
SINGLE IMAGE
View in Media Gallery
In this sample of water from the Caltech Turtle Pond (collected 4/8/19 around 7pm in plastic cups), we can see many unicellular, circular organism, albeit a bit unfocused/blurry. (I’ll try to get better with the foldscope lol.) I suspect the organisms are microalgae, which are ~3μm according to a quick Google search c;

#caltechbi1

Sign in to commentNobody has commented yet... Share your thoughts with the author and start the discussion!

More Posts from Susu Le