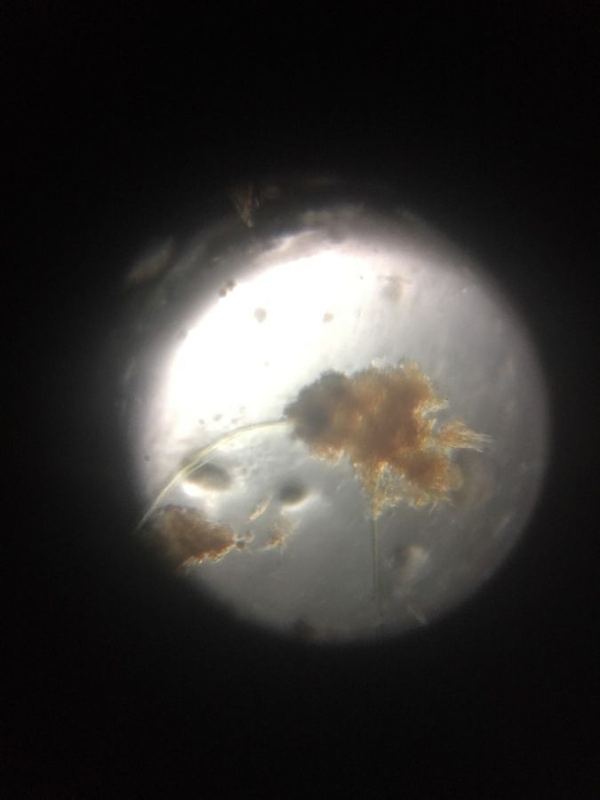
Algae sample collected at Baxter pond Caltech

Applause IconMay 07, 2019 • 9:53 PM UTC
Location IconUnknown Location
Applause Icon140x Magnification
Applause IconUnknown
User Profile

Learn about the author...

4posts
0comments
1locations
SINGLE IMAGE
View in Media Gallery
The above sample was collected by gathering a cup of water from Baxter pond at Caltech around 7:00 pm and pipetting some of the murkiest water onto a slide to prepare a wet sample. The location can be seen in the below image as captured on
https://hiveminer.com/Tags/caltech%2Cpond. #caltechbi1
SINGLE IMAGE
View in Media Gallery

Sign in to commentNobody has commented yet... Share your thoughts with the author and start the discussion!

More Posts from Aaron Feldman