Microcosmos Logo
ExploreAll PostsAboutShop Now
ExploreAll PostsAbout
Log In or Sign Up

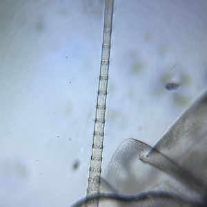
Mayfly Exoskeleton

Applause IconFeb 12, 2023 • 5:10 AM UTC
Location IconUnited States
Applause Icon140x Magnification
Applause IconInsects and Arachnids
User Profile
Holly Stuart

Learn about the author...

35posts
15comments
8locations
TODO
TODO
TODO
Another macro-invertebrate exoskeleton that got captured in my plankton net. Mayfly antenna, tail, and abdomen. Water sample collected in the Catawba River.

Sign in to commentNobody has commented yet... Share your thoughts with the author and start the discussion!

More Posts from Holly Stuart

Thumbnail for Tardigrades!
Tardigrades!
0 Applause0 Comments
52w
Thumbnail for Sand!
Sand!
0 Applause0 Comments
1y
Thumbnail for Vorticella
Vorticella
0 Applause0 Comments
1y
Thumbnail for Playing With Slow Motion
Playing With Slow Motion
0 Applause0 Comments
1y
Thumbnail for Bubbles!
Bubbles!
0 Applause0 Comments
1y
Thumbnail for Microscopic Planets?
Microscopic Planets?
0 Applause0 Comments
1y
Thumbnail for Daphnia
Daphnia
0 Applause0 Comments
2y
Thumbnail for Fall Colors
Fall Colors
0 Applause0 Comments
2y
Thumbnail for Amoeba!
Amoeba!
0 Applause0 Comments
2y
Thumbnail for Foldscope Mini and Feathers
Foldscope Mini and Feathers
0 Applause0 Comments
2y
Thumbnail for Yeast
Yeast
0 Applause0 Comments
2y
Thumbnail for Poolside Microscopy
Poolside Microscopy
0 Applause0 Comments
2y
Thumbnail for Mosquitoes!
Mosquitoes!
0 Applause0 Comments
2y
Thumbnail for Hungry Hungry Microbes
Hungry Hungry Microbes
0 Applause0 Comments
2y
Thumbnail for Orchid Flower Petals
Orchid Flower Petals
0 Applause0 Comments
2y
Thumbnail for What’s In The Water?
What’s In The Water?
0 Applause0 Comments
2y
Thumbnail for Foldscoping In The Forest
Foldscoping In The Forest
0 Applause0 Comments
2y
Thumbnail for Spore on Leaf
Spore on Leaf
0 Applause0 Comments
2y
Thumbnail for Roses Are Red…
Roses Are Red…
0 Applause0 Comments
2y
Thumbnail for Neighborly Foldscope Helper
Neighborly Foldscope Helper
0 Applause0 Comments
2y
Microcosmos

About

Explore

All Posts

Brought to you by

Foldscope

© 2024 Microcosmos

Contact

Terms and Conditions

Social Media