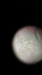
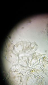
Peel of Plum fruit

Applause IconJun 17, 2018 • 1:41 AM UTC
Location IconUnknown Location
Applause Icon140x Magnification
Applause IconMicroorganisms
User Profile

Learn about the author...

14posts
7comments
1locations
SINGLE IMAGE
View in Media Gallery
Hello all back with something healthy and nutritious – Plums.
Plums have high nutritional value and antioxidant properties. Varieties of plum with darker fruits are regarded as rich in valuable antioxidants. But the major limitation to this healthy fruit is its storage due to short shelf life and softening that reduces its flavor quality and leads to fungal decay.
At home a plum had softened. I tried to see the pigments present in its peel that give it a characteristic color using a foldscope.
TODO
TODO
TODO
TODO
TODO
TODO
TODO

Sign in to commentNobody has commented yet... Share your thoughts with the author and start the discussion!

More Posts from Rahul Prasher