Explore
All Posts
About
Shop Now
Explore
All Posts
About
Log In or Sign Up
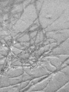
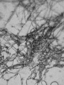
Moldy growth on button mushrooms
Jul 28, 2018 • 9:48 AM UTC
Unknown Location
140x Magnification
Microorganisms
Gagandeep Singh
Learn about the author...
21
posts
4
comments
1
locations
0 Applause
0 Comments
View in Media Gallery
A rotten mushroom in a pack of healthy button mushrooms seen under a foldscope showed moldy growth.
This post is open to read and review on The Winnower.
Sign in to comment
Nobody has commented yet... Share your thoughts with the author and start the discussion!
More Posts from Gagandeep Singh
Wild plants of Chandigarh – Specimen 4 (Railroad creeper)
0 Applause
0 Comments
7y
Fibers of soft toy under foldscope
0 Applause
0 Comments
7y
Pearls or pollen
0 Applause
0 Comments
7y
Moldy growth on orange
0 Applause
0 Comments
7y
Pests on Chrysanthemum leaves
0 Applause
0 Comments
7y
Bird watching at wetlands
0 Applause
0 Comments
7y
Sectioning ovary of a wild mallow flower
0 Applause
0 Comments
7y
Pollen of Night Jasmine
0 Applause
0 Comments
7y
Thrips on brinjal leaf
0 Applause
0 Comments
7y
Class practical to see Starch grains in almonds
0 Applause
0 Comments
7y
Foldscope as an Educational Tool : Tutorial -1
0 Applause
0 Comments
7y
Cells from Garlic peel
0 Applause
0 Comments
7y
Histopathological studies of Rot disease in red bell peppers
0 Applause
0 Comments
7y
Blue mold on rotting coconut
0 Applause
0 Comments
7y
Black mould on Onion
0 Applause
0 Comments
7y
Diseased mango leaf
0 Applause
0 Comments
7y
Fungal growth on sheath of corn cob
0 Applause
0 Comments
7y
Moldy growth on Dairy Products
0 Applause
0 Comments
7y
A chipped human nail
0 Applause
0 Comments
7y
An ant to begin with
0 Applause
0 Comments
7y
Feedback