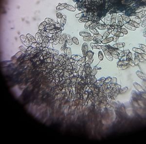
POWDERY MILDEW OF SUNFLOWER

Applause IconAug 31, 2018 • 2:16 AM UTC
Location IconUnknown Location
Applause Icon140x Magnification
Applause IconMicroorganisms
User Profile

Learn about the author...

17posts
0comments
1locations
TODO
TODO
Spores
TODO
TODO
The disease produces white to grey powdery growth on the upper surface of older leaves. The affected leaves curl, become chlorotic and die. In India since the last decade powdery mildew caused by Golovinomyces cichoracearum formerly called as Erysiphe cichoracearum has become one of the major diseases of sunflower. This disease causes considerable yield loss in various parts of the country.

Sign in to commentNobody has commented yet... Share your thoughts with the author and start the discussion!

More Posts from SUSHANTI THOKCHOM