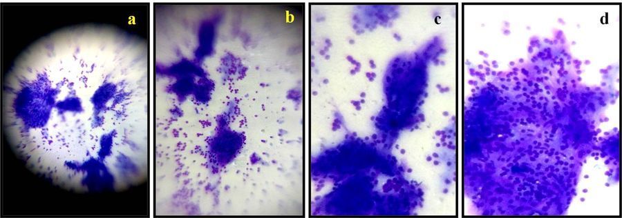
Observation of HCC patients FNAC sample under foldscope.

Applause IconJul 14, 2019 • 9:58 PM UTC
Location IconUnknown Location
Applause Icon140x Magnification
Applause IconMicroorganisms
User Profile

Learn about the author...

39posts
3comments
1locations
SINGLE IMAGE
View in Media Gallery
The figure shows cluster of large pleomorphic cells with abundant cytoplasm, vesicular nuclei and prominent nucleoli in an aspirate from a case of hepatocellular carcinoma. Images taken with Foldscope attaching Lenovo K6-Note android cell phone. Fig b (2X), c (3X), d (4X) are zoom out images of Fig a.

Sign in to commentNobody has commented yet... Share your thoughts with the author and start the discussion!

More Posts from Ratna Kumari