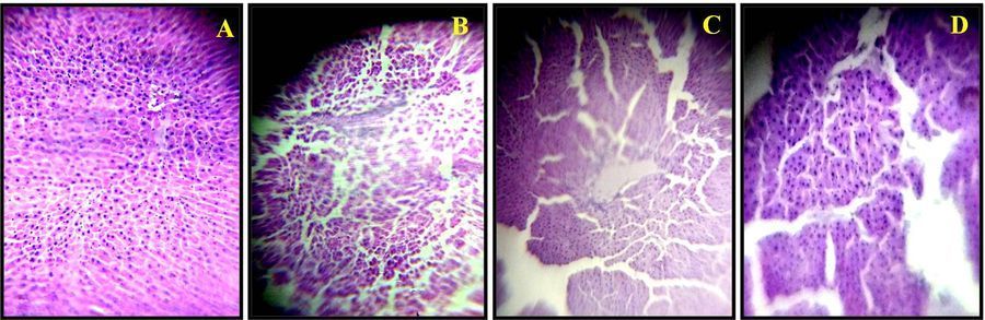
Photomicrographs of H & E stained Rat liver section –DEN induced hepatocarcinogenesis.

Applause IconJul 18, 2019 • 10:38 PM UTC
Location IconUnknown Location
Applause Icon140x Magnification
Applause IconMicroorganisms
User Profile

Learn about the author...

39posts
3comments
1locations
SINGLE IMAGE
View in Media Gallery
Figure A shows untreated rat liver section with organized liver architecture. Figure B,C & D shows DEN treated rat liver sections. DEN is a potent hepatocarcinogen which helps to produce tumor nodules in liver. The liver architecture in figure B,C & D is disorganized with dilated sinusoids and expanded portal vein and this was more with the increasing dose of DEN. Images taken with foldscope attaching Lenovo K6-Note android cell phone.

Sign in to commentNobody has commented yet... Share your thoughts with the author and start the discussion!

More Posts from Ratna Kumari