Explore
All Posts
About
Shop Now
Explore
All Posts
About
Log In or Sign Up
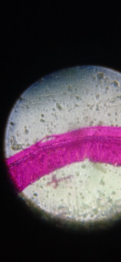
Animal Tissue slides Observed under Foldscope
Sep 18, 2019 • 11:19 AM UTC
Unknown Location
140x Magnification
Unknown
Jugabrat Das
Learn about the author...
18
posts
0
comments
1
locations
0 Applause
0 Comments
View in Media Gallery
Columnar Epithelium
View in Media Gallery
Cuboidal Epithelium
Unstriated Muscle
Sign in to comment
Nobody has commented yet... Share your thoughts with the author and start the discussion!
More Posts from Jugabrat Das
Animal Tissue slides observed under Foldscope
0 Applause
0 Comments
6y
Workshop organised on Use of Foldscope in practical classes at Department of Zoology, Goalpara College
0 Applause
0 Comments
6y
Plankton collected from pond observed using Foldscope
0 Applause
0 Comments
6y
Workshop on Assembly and applications of Foldscope as research and educational tools at Daranggiri HS School, Daranggiri
0 Applause
0 Comments
6y
Workshop organized on Application of Foldscope at Joybhum ME Madrassa of Chunari area under Goalpara, Assam
0 Applause
0 Comments
6y
Workshop on Assembly and Uses of Foldscope at Ketkibari M.V. School, Ketekibari of Goalpara district
0 Applause
0 Comments
6y
Workshop on Assembly and Use of Foldscope at Bapuji High School, Lalabori, Goalpara
0 Applause
0 Comments
6y
Use of Foldscope in field study (Urpod wetland, Goalpara district, Assam)
0 Applause
0 Comments
7y
One Day National Workshop (twinning) organized at Goalpara College, Goalpara in collaboration with Lyallpur Khalsa College, Jalandhar, Punjab
0 Applause
0 Comments
7y
Workshop on Foldscope Assembly and Utilization Organised at Bakaitari High School, Goalpara
0 Applause
0 Comments
7y
How to identify male and female mosquitoes ? Key characters observed under foldscope
0 Applause
0 Comments
7y
Foldscope Orientation Workshop at Bodahapur High School, Goalpara, Assam
0 Applause
0 Comments
7y
Scales of fishes (Cycloid and Ctenoid) observed under Foldscope
0 Applause
0 Comments
7y
Foldscope Orientation Workshop organised at Bapujinagar Girl’s Middle English School, Goalpara
0 Applause
0 Comments
7y
Developing stages of zoonotic trematode observed using foldscope
0 Applause
0 Comments
7y
Untitled Post
0 Applause
0 Comments
7y
Foldscope Orientation Workshop at Dudhnoi College, Assam
0 Applause
0 Comments
7y
Feedback