Prepared slides- yet still surprised.

Applause IconApr 02, 2018 • 5:18 PM UTC
Location IconUnited States
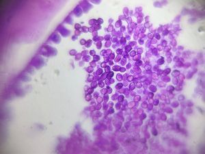
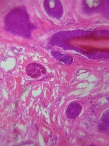
Applause Icon140x Magnification
Applause IconMicroorganisms
User Profile

Scientific artist, using art as a tool for scientific storytelling. http://www.rebeccakonte.com/

27posts
25comments
22locations
SINGLE IMAGE
View in Media Gallery
Hello Foldscopers!
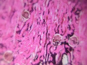
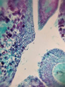
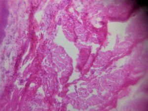
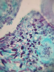
Over the weekend I received a box of prepared slides & set some time aside to browse through them.
Although this was not much of an exploratory endeavor, I still found myself in awe. For one, at the foldscope itself. The wonder truly does not wear off when a device so beautifully simple performs so well. I was also in awe of just of the confounding complexity of the microscopic world, so much intricacy masked by scale…
So this post is more just a testament to that! Here are some photos of my favorite sights, focusing through different planes on insects was especially interesting.
TODO
TODO
TODO
TODO
TODO
TODO
TODO
TODO
TODO
TODO
TODO
TODO
TODO
TODO
TODO
TODO
TODO
TODO
TODO
TODO
TODO
TODO
TODO
TODO
TODO
TODO
TODO
TODO
TODO
TODO
TODO
TODO
TODO
TODO
TODO
TODO
TODO
TODO
TODO
TODO
TODO
TODO
TODO
TODO
TODO
TODO
TODO
TODO
TODO
TODO
TODO
I looked at many slides so I did not annotate the subject for each image– but if you’re curious what an image is of please ask in the comments & I’ll look it up!
Finally, I noticed this dead bee on my screen door today, considering it as a donation to my next exploration. 🙂
SINGLE IMAGE
View in Media Gallery
Thanks!
Rebecca

Sign in to commentNobody has commented yet... Share your thoughts with the author and start the discussion!

More Posts from Rebecca Konte