Explore
All Posts
About
Shop Now
Explore
All Posts
About
Log In or Sign Up
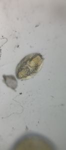
கருவேப்பில்லைக்கு பின்னால இருந்த முட்டைகள்
Jul 11, 2023 • 4:36 PM UTC
India
140x Magnification
Insects and Arachnids
Pandiarajan tnsf
I am a Primary School Teacher
1037
posts
131
comments
62
locations
1 Applause
3 Comments
Sign in to comment
Nobody has commented yet... Share your thoughts with the author and start the discussion!
More Posts from Pandiarajan tnsf
Rotifer
0 Applause
0 Comments
2w
முதிர்ந்த எறும்பின் பாகங்கள்
0 Applause
0 Comments
2w
சக்கரை வள்ளிக் கிழங்கு தோல் செல் அமைப்பு
0 Applause
0 Comments
2w
கொடிக்காய் புளி உள் சதையின் அமைப்பு
0 Applause
0 Comments
2w
சங்கு பூ மகரந்த தூள்
0 Applause
0 Comments
3w
ரேடியோ பூவின் மகரந்ததூள்
0 Applause
0 Comments
3w
கோவை காய் இலையின் பகுதிகள்
0 Applause
0 Comments
3w
பேன் முட்டை
0 Applause
0 Comments
3w
வெங்காய செல்
0 Applause
0 Comments
3w
பேன் உள்பகுதி
0 Applause
0 Comments
3w
வண்ணத்துப் பூச்சியின் செதில்கள்
0 Applause
0 Comments
3w
Foldscope workshope Thiruvalur District AAthur Karanodai
0 Applause
0 Comments
5w
Foldscope workshope at sengundram Elite School
0 Applause
0 Comments
5w
மேட்டுப்பாளையம் பயிற்சியில் பதிவு செய்தவை
0 Applause
0 Comments
6w
இரண்டு நாள் பெண்களுக்கான மடிப்பு நுண்ணோக்கிப் பயிற்சி மே்ட்டுப்பாளையம்ம்
0 Applause
0 Comments
6w
மாணவர்கள் தயாரித்த சிலேட்டில் இருந்து பதிவு செய்த சில படங்கள்
0 Applause
0 Comments
7w
தாவர செல்
0 Applause
0 Comments
7w
One day workshop on Foldscope Bishop Heber college Trichy TamilNadu
0 Applause
0 Comments
7w
தாவர செல் மற்றும் இலைத்துளைகள்
0 Applause
0 Comments
17w
தட்டாண் கால் மற்றும் இறகு
0 Applause
0 Comments
1y
Feedback